肺错构瘤ct

最近的影像报道, 方法 31例由病理证实的肺错构瘤患者均经16层螺旋ct
图片尺寸1651x1366
最近的影像报道, 方法 31例由病理证实的肺错构瘤患者均经16层螺旋ct
图片尺寸1078x1520
肺错构瘤的影像病例欣赏
图片尺寸1080x810
肺错构瘤的影像病例欣赏
图片尺寸1080x810
肺错构瘤的影像病例欣赏
图片尺寸1080x810
丁香园版主ct高少老师十论灶肺交界面截然征象的鉴别诊断之二
图片尺寸1080x810
图3 胸部ct显示右下叶内错构瘤(白箭),其几乎全部为脂肪密度伴较小
图片尺寸515x417
左肺错构瘤1例
图片尺寸1600x1361
360:e17march 19,2009图:在隆突上方的ct扫描显示巨大的肺错构瘤
图片尺寸984x485
左肺错构瘤1例
图片尺寸1816x1461
最近的影像报道, 方法 31例由病理证实的肺错构瘤患者均经16层螺旋ct
图片尺寸1120x1525
肺错构瘤的ct诊断及记忆歌诀
图片尺寸1080x720
胸腔内错构瘤
图片尺寸1600x1200
肺错构瘤的影像病例欣赏
图片尺寸1080x810
肺错构瘤(pulmonary hamartoma)
图片尺寸565x361
肺错构瘤的影像病例欣赏
图片尺寸1080x810
最近的影像报道, 方法 31例由病理证实的肺错构瘤患者均经16层螺旋ct
图片尺寸1600x1250
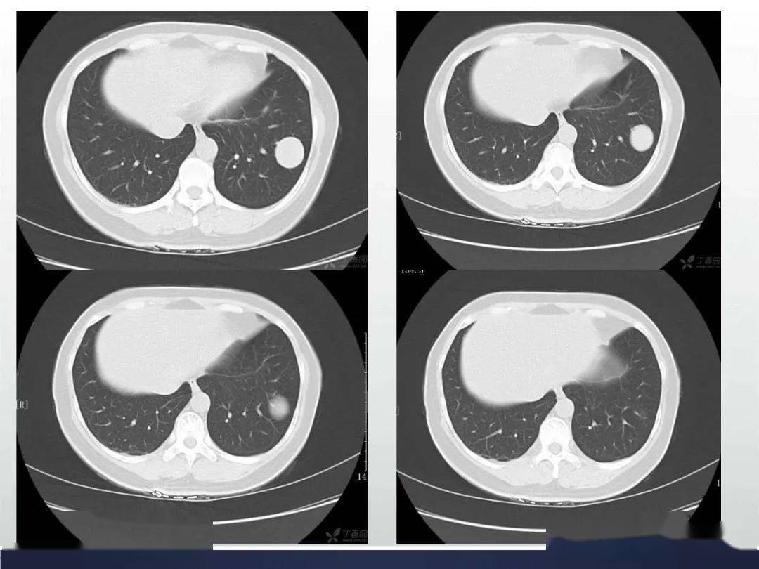
边缘光滑,境界清晰,内见斑点状钙化,考虑错构瘤
图片尺寸800x585
图2 两例患者中钙化的错构瘤
图片尺寸534x316
错构瘤影像学详解(多图)
图片尺寸500x662