肺门影增浓

治疗刚陷「两难抉择」又起脑膜占位风波?何处觅真凶?
图片尺寸885x1011
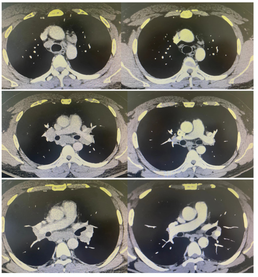
淋巴结较前缩小(图4),头颅增强核磁共振可见脑膜占位较前相仿(图5)
图片尺寸1000x1075
x片结果双肺纹理增粗左侧肺门稍浓
图片尺寸1836x2448
男,61岁,咳嗽,胸部平片示右肺门增大,请老师们帮忙看下
图片尺寸878x444
"肺纹理增粗,增多,紊乱,模糊"?
图片尺寸2604x2532
间质性肺炎x线表现:两肺门及中下肺野纹理增粗,模糊,并可见网状及小斑
图片尺寸712x812
右侧肺门增大
图片尺寸540x960
胸片示两肺门增大,两下肺纹理增多
图片尺寸1280x960
【影像读片】右肺门增大,随访有结果(结果已公布)
图片尺寸2048x1536
"肺纹理增粗,增多,紊乱,模糊"?
图片尺寸1500x2444
右上肺见斑片状,少许纤维索密度曾高影,其边缘欠清,双侧肺门影增重
图片尺寸1944x2592![【影像读片】左肺门增大,看看是不是肿瘤. [病例帖]](https://i.ecywang.com/upload/1/img2.baidu.com/it/u=3885129527,2979547631&fm=253&fmt=auto&app=138&f=JPEG?w=500&h=888)
【影像读片】左肺门增大,看看是不是肿瘤. [病例帖]
图片尺寸640x1137
丁香园论坛>影像核医学>帖子详情>3600_1800
图片尺寸3600x1800
【影像读片】右肺门增大,随访有结果(结果已公布)
图片尺寸2048x1536
"肺纹理增粗,增多,紊乱,模糊"?
图片尺寸1892x1796
"肺纹理增粗,增多,紊乱,模糊"?
图片尺寸1812x1796
探案丨脓痰1年,肺炎3个月,抗生素竟然治不好?
图片尺寸1017x1453
肺门浓密征:在正位胸片上肺门增大,密度增高 ,暗示有病变位于肺门或其
图片尺寸1471x904
间质性肺炎x线表现:两肺门及中下肺野纹理增粗,模糊,并可见网状及小斑
图片尺寸720x784
右肺门增大
图片尺寸1280x960