肺门蝴蝶影

蝶翼征都是心衰肺水肿不还要和这些病鉴别
图片尺寸320x292![【病例会诊】双肺蝶翼样影 [病例帖]](https://i.ecywang.com/upload/1/img1.baidu.com/it/u=3266356636,3618494280&fm=253&fmt=auto&app=138&f=JPEG?w=500&h=666)
【病例会诊】双肺蝶翼样影 [病例帖]
图片尺寸640x853
pcp影像学:以肺门为中心,蝴蝶状,不累及胸膜
图片尺寸2667x2000
5-1cm大小,边缘模糊,很快融合成斑片或大片状阴影,有含气支气管影像.
图片尺寸512x434
网评最帅心脏外科医生浅谈新冠肺炎与心衰肺炎之影像学鉴别
图片尺寸555x314
肺门对称蝶翼状血管内大b淋巴瘤(温医一附院陈彦凡老师)
图片尺寸512x512
肺门对称蝶翼状血管内大b淋巴瘤
图片尺寸1598x1198
胸片中不可不知的影像征象上
图片尺寸365x385
以双侧肺门为中心对称分布的大片状致密影,肺门区密度较高,边缘模糊
图片尺寸459x238
肺泡蛋白沉积症:胸部正位片示双肺多发细小结节影,融合成淡薄片状,沿
图片尺寸806x886
病灶为广泛的两侧对称性密度增高影,靠近肺门最明显,肺野周围部则逐渐
图片尺寸582x472
图 3 全胸片示心影增大,典型「蝴蝶影」,双侧肋膈角钝模糊,提示心衰
图片尺寸1076x1088
丁香园论坛
图片尺寸1201x882
是指尿毒症时胸部x线片上呈现以肺门为中心,向两侧放射的对称型蝴蝶
图片尺寸3200x1800
不,还要和这些病鉴别!
图片尺寸296x231
神奇的"蝶翼征"_蝴蝶_肿瘤_肾上腺
图片尺寸508x407
气胸的x线表现,6个病例帮你搞定_患者
图片尺寸381x445
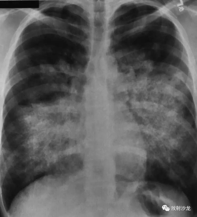
发热,ct如下:乍一看,很像心源性肺水肿,病灶沿着肺门分布,呈蝴蝶状
图片尺寸233x168
5.心影位置及大小
图片尺寸600x433
③肺段不张:三角形致密影,基底向外,尖端指向肺门,肺段缩小.
图片尺寸555x339