肺ct图片 结合

医生提醒:做过肺切除术,身体若出现这几种异常,要当心!
图片尺寸1242x956
🔍 肺部ct片子解读,治疗难题求医路 🌍
图片尺寸1080x1407
肺ct
图片尺寸1170x2532
正常肺部肺窗ct影像解剖
图片尺寸1920x1440
肺部ct结果出来啦!🎉
图片尺寸800x1124
肺部ct
图片尺寸1440x1920
如何在肺 ct 上快速识别支原体肺炎?只需牢记这 3 个标志性特征!
图片尺寸960x705
肺磨玻璃结术前胸部ct
图片尺寸1840x4096
如何在肺 ct 上快速识别支原体肺炎?只需牢记这 3 个标志性特征!
图片尺寸960x768
"发现微小肺结节,建议随访"给2个结节病的肺ct片子健康的人肺部ct图片
图片尺寸5024x3328
肺ct的暗语大全,一次性全都给你说明白!文章很长希望你坚持看完!
图片尺寸2048x1966
肺癌根本不用治?医生解答几个真相
图片尺寸1280x867
肺部ct10要点,你肺咋样?
图片尺寸898x1174
西安市中心医院呼吸科成功开展首例ct引导下肺结节射频消融术
图片尺寸985x1010
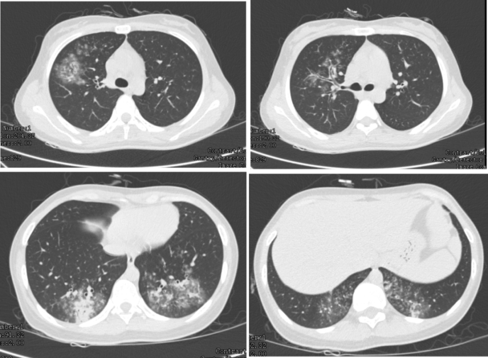
患者治疗后肺部 ct(图源:参考资料 4)本文根据真实病例改编
图片尺寸1080x857
怎么看肺部ct片子图解
图片尺寸2160x1440
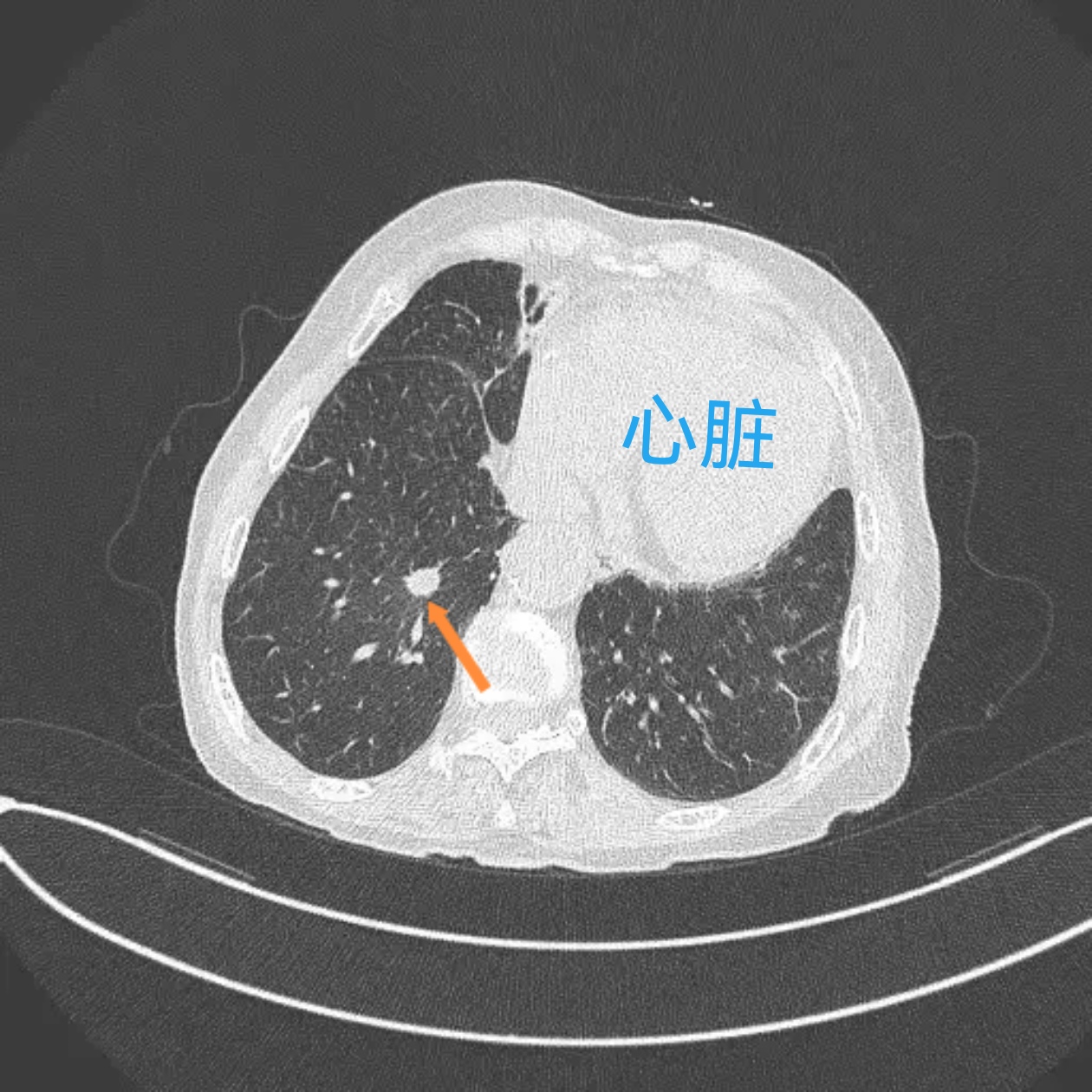
陈女士84岁, 咳嗽,胸闷一个月,ct查出1.2厘米的肺结节
图片尺寸1260x1260
说了800遍,肺ct检查做完,不要只拿胶片,医生判断不了结节情况
图片尺寸1080x1080
中医丁宇:肺 ct 报告 10 个良性 "暗语",不看吃大亏!1
图片尺寸1280x787
肺部ct报告15条"暗语" ,看懂不吃亏!
图片尺寸2000x2668