肺ct真实

经典肺ct展示
图片尺寸1200x1600
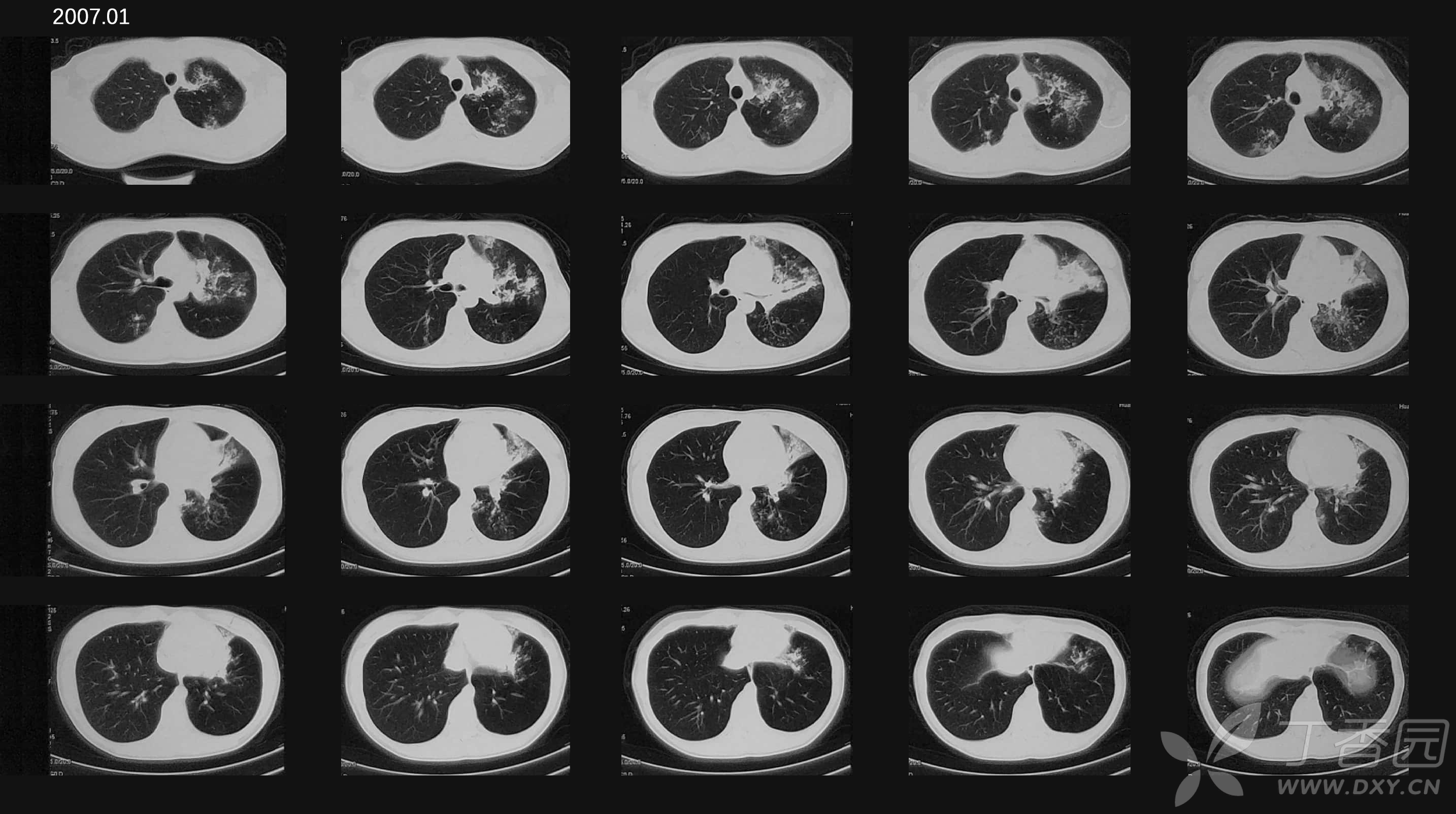
经典肺ct展示
图片尺寸1200x1600
经典肺ct展示
图片尺寸1200x1600
肺部ct,有没有看得懂的,帮忙看一下,我爸爸的,我很担心.谢谢.
图片尺寸2448x3264
正常的肺部ct扫描照片
图片尺寸249x350![谁动了我的左肺? [病例帖]](https://i.ecywang.com/upload/1/img0.baidu.com/it/u=4251089589,2793093928&fm=253&fmt=auto&app=138&f=PNG?w=894&h=500)
谁动了我的左肺? [病例帖]
图片尺寸2868x1604
刘桂芹肺部ct
图片尺寸1200x1604
肺部感染
图片尺寸2000x2667
例1肺ct
图片尺寸1252x1080
仙桃男孩竟被查出肺部有异物!罪魁祸首是它,家里有小孩的千万当心
图片尺寸1080x1439
肺部ct诊断
图片尺寸2896x5152
【病例讨论】咯血,ct肺出血:多家医院诊断未明,下一步如何检查和处理
图片尺寸640x741
麻烦呼吸科的老师帮忙分析两个肺部ct(有鲜花送哟)谢谢
图片尺寸1920x2560
典型的肺窗片如果我要求您拍ct片子的照片过来,主要是要看你的"肺窗"
图片尺寸3456x4608
【影像读片】两肺多发空腔/洞-不太常见的表现【结果已公布】
图片尺寸1500x1125
肺部疾病ct片子
图片尺寸1200x800
正常胸部ct(肺窗):1.上腔静脉 2.主动脉弓 3.居中的气管 4.食管.
图片尺寸640x421![Ⅱ型肺tb? [病例帖]](https://i.ecywang.com/upload/1/img1.baidu.com/it/u=1588316619,2360667250&fm=253&fmt=auto&app=138&f=JPEG?w=667&h=500)
Ⅱ型肺tb? [病例帖]
图片尺寸4000x3000![【影像读片】左肺薄壁空洞合并心包积气(答案已公布) [病例帖]](https://i.ecywang.com/upload/1/img1.baidu.com/it/u=1656907287,1194137185&fm=253&fmt=auto&app=138&f=JPEG?w=375&h=500)
【影像读片】左肺薄壁空洞合并心包积气(答案已公布) [病例帖]
图片尺寸2736x3648
ct50211:两肺弥漫性小结节,进行性增多,如何诊断
图片尺寸1546x1900