肾动脉造影

相关,介入治疗指征明确,遂行双肾动脉造影进一步评估肾动脉狭窄情况
图片尺寸450x800
大同市第五人民医院介入科行肾动脉支架植入实例分享
图片尺寸1200x1600
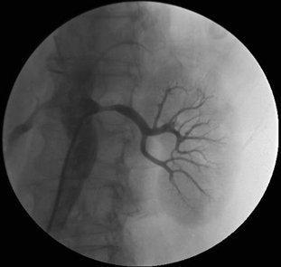
正常肾造影,动脉期
图片尺寸1748x1639
⑤ ct肾动脉造影(cta):如果b超,同位素肾图,肾素检测均提示肾动脉狭窄
图片尺寸741x629
肾动脉狭窄造影表现
图片尺寸311x295
手术前后肾动脉造影影像
图片尺寸750x345
右肾动脉支架植入后造影显示
图片尺寸1198x1598
血管造影显示左肾动脉开口重度狭窄
图片尺寸803x603
肾动脉造影示右肾动脉主干狭窄
图片尺寸640x599
肾动脉狭窄
图片尺寸770x720
腰痛千万别说无所谓-----------记肾动脉狭窄一例
图片尺寸2667x2000
精准治疗丨肾动脉造影 栓塞术—"小切口"解决肾出血患者"大问题"_肿瘤
图片尺寸1080x1440
我院心内三科独立完成首例肾动脉造影术
图片尺寸687x687
协和江南医院肾动脉狭窄支架植入术病例分享
图片尺寸1198x1411
急诊在介入下行肾动脉造影检查,出血点清晰可见.
图片尺寸1080x1080
双肾动脉造影
图片尺寸1200x1600
主动脉造影见肾动脉血流通畅,肾脏灌注良好.
图片尺寸1405x1482
吸栓大法——记左肾动脉栓塞导管抽吸再通一例
图片尺寸2000x2674
其它 pcnl术后左肾出血_左肾动静脉瘘合并假性动脉瘤1例副肾动脉造影
图片尺寸2000x2667
造影可见左肾动脉完全未见显影,仿佛左肾缺如.
图片尺寸1369x1411