肾小囊切片图

泌尿小管和肾血管模式图(1)血管球:又称肾小球,是由肾小囊包绕的一团
图片尺寸465x379
包括近端小管,远端小管,肾小球囊和亨利氏环
图片尺寸1080x753![【专题】肾小球肾炎病理图片集锦(病理小组活动之十三) [精华]](https://i.ecywang.com/upload/1/img1.baidu.com/it/u=758591468,3254301438&fm=253&fmt=auto&app=138&f=JPEG?w=504&h=330)
【专题】肾小球肾炎病理图片集锦(病理小组活动之十三) [精华]
图片尺寸504x330![肾小囊3.远曲小管4.近曲小管 .(共22字)[阅读本文]>>](https://i.ecywang.com/upload/1/img2.baidu.com/it/u=3168483319,854508555&fm=253&fmt=auto&app=138&f=JPEG?w=543&h=500)
肾小囊3.远曲小管4.近曲小管 .(共22字)[阅读本文]>>
图片尺寸1021x940
单层扁平上皮侧面观,he染色,*400,肾小囊壁层
图片尺寸604x396
肾脏病理切片白色细箭头所指区域为肾小囊红色粗箭头所指区域为基底膜
图片尺寸741x489
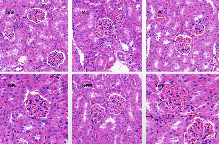
切片显示,与正常组相比,各剂量给药组肾脏存在不同程度的病变.
图片尺寸2816x2371
pas 染色 红色箭头:被压缩或固缩的肾小球毛细血管袢;黄色箭头:肾小囊
图片尺寸498x390
观察猪肾的纵剖结构 肾单位①②③④⑤⑥⑦肾小囊肾
图片尺寸860x645
菜鸟请教肾脏病理切片
图片尺寸5152x3888
图8-2 肾小球,肾小囊穿刺和近球小体示意图方框示近球小体图8-1 肾
图片尺寸480x323
近端小管曲部连接肾小囊,首先在肾小体附近迂曲行走,其直部从髓放线
图片尺寸910x745
电镜显示肾小球系膜和内皮下区域可见带状胶原纤维(图2a),排列不规则
图片尺寸510x383
血管球 5.肾小囊 6. 肾小囊壁层7. 尿极7070肾小管1.
图片尺寸1080x739
球小动脉玻璃样变的肾穿刺病理切片,可见肾小球毛细血管袢,外面肾小囊
图片尺寸395x256
肾小管坏死显微切片图片第12张
图片尺寸800x600
慢性肾小球肾炎生物切片人体病理切片显微镜配套生物切片
图片尺寸800x800
病理检查也明显发现肾小囊腔中的红细胞(图 3).
图片尺寸640x630
图 6 红色箭头:igg 在肾小球系膜区条索状沉积;黄色箭头:肾小囊基底膜
图片尺寸495x374
大鼠肾冷冻割断扫描电镜示肾小体
图片尺寸348x228