肾挫伤超声图片

肾脏挫裂伤 - 超声医学讨论版 - 爱爱医医学论坛
图片尺寸768x576
肾挫伤 - 超声医学讨论版 - 爱爱医医学论坛
图片尺寸720x576
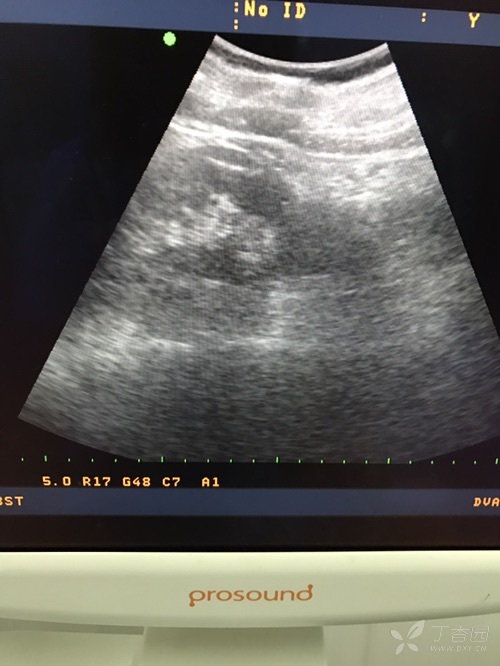
右肾挫伤,肾盂积血 - 超声医学讨论版 - 爱爱医医学论坛
图片尺寸768x576
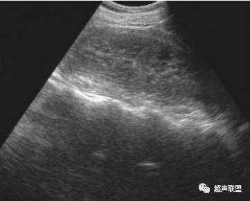
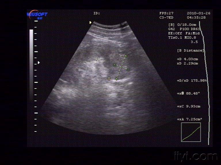
【贴图】肾挫伤b超图片 - 超声医学讨论版 - 爱爱医医学论坛
图片尺寸768x576
右肾挫裂伤 - 超声医学讨论版 - 爱爱医医学论坛
图片尺寸442x320
【贴图】肾挫伤b超图片 - 超声医学讨论版 - 爱爱医医学论坛
图片尺寸768x576
右肾挫裂伤 - 超声医学讨论版 - 爱爱医医学论坛
图片尺寸465x366
【原创】陈旧性肾挫伤 - 超声医学讨论版 - 爱爱医医学论坛 - 爱爱医
图片尺寸768x576
右肾挫裂伤 - 超声医学讨论版 - 爱爱医医学论坛
图片尺寸458x330
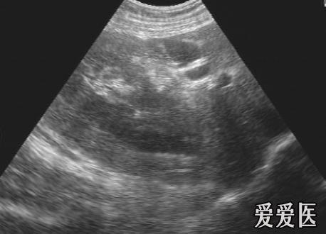
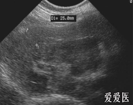
肾挫裂伤 - 超声医学讨论版 - 爱爱医医学论坛
图片尺寸491x392
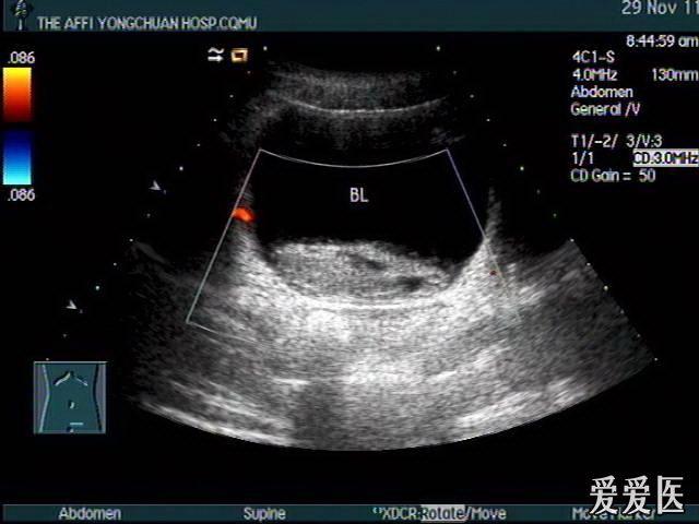
右肾挫伤,膀胱血凝块——zengerya - 超声医学讨论版 - 爱爱医医学
图片尺寸640x480
转发肾脏挫裂伤超声
图片尺寸361x290
肾脏挫裂伤 - 超声医学讨论版 - 爱爱医医学论坛 - 爱爱医医学网
图片尺寸600x450
肾挫伤 - 超声医学讨论版 - 爱爱医医学论坛
图片尺寸720x576
婴儿肾积水注意肾功能损伤,严重的会肾萎缩 - 好大夫在线
图片尺寸3264x2448
自发性肾破裂
图片尺寸2000x2667
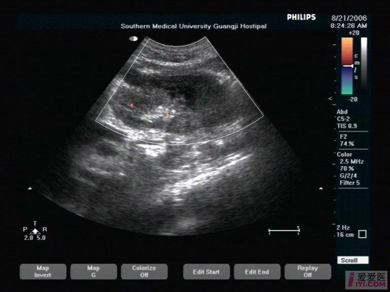
膀胱挫裂伤 - 超声医学讨论版 - 爱爱医医学论坛
图片尺寸768x576
外伤,一米多摔倒,肾区不痛
图片尺寸500x666
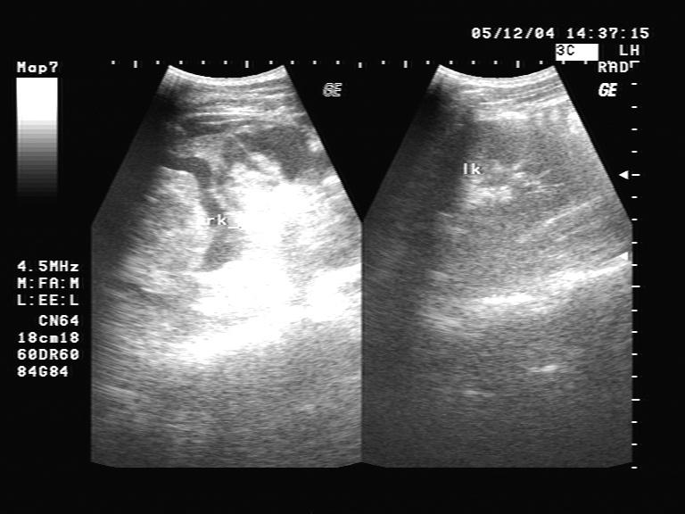
左肾挫伤一例
图片尺寸680x510
6岁小孩肾外伤后丢失肾脏-家长需要放手不放眼! - 好大夫在线
图片尺寸1028x861