肾畸形

cakut按发生异常的部位不同,主要包括肾脏畸形,输尿管畸形及尿道畸形
图片尺寸944x690
前沿医声重复肾畸形不仅仅是单纯的切除重复肾我院成功完成首例腹腔镜
图片尺寸620x800
右侧双肾盂畸形!
图片尺寸960x1280
这是一个左肾的重复肾畸形合并左上肾积水.
图片尺寸640x300
14检疫本护专药专课件泌尿系统畸形肾
图片尺寸1500x1125
1,马蹄肾:多为两侧肾脏下极相连接,最常见的先天性肾畸形.
图片尺寸1080x810
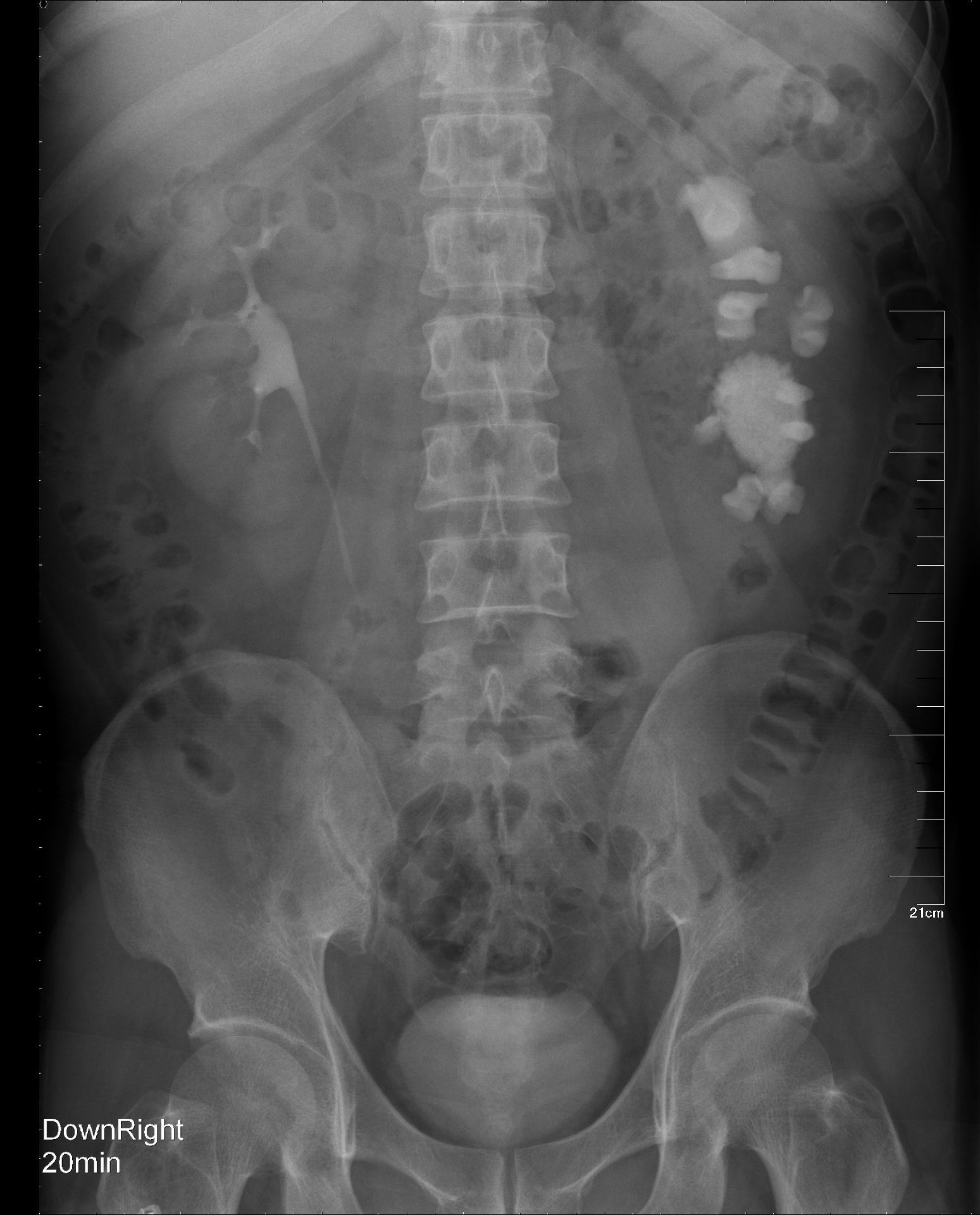
双侧肾盂输尿管重复畸形并肾积水1例
图片尺寸1956x2644
肾盂输尿管重复畸形
图片尺寸835x1002
左肾双肾盂畸形_医学生_医疗健康_医疗健康其他
图片尺寸1080x1439
肾输尿管先天性畸形治疗的最新进展
图片尺寸1549x1920
6个月大的患儿洋洋(化名)在出生时即检查出了双侧重复肾畸形.
图片尺寸1080x1440
并不罕见,大约1500人中会有一例,「重复肾畸形」一般与原先的肾脏相连
图片尺寸307x400
重复肾盂输尿管畸形
图片尺寸400x205
基本概述 马蹄形肾是最常见的融合肾畸形,两肾下极由横越中线的实质
图片尺寸314x267
重复肾输尿管畸形合并肾结石的微创经皮肾镜取石处理_肾结石_治疗方法
图片尺寸722x827
肾输尿管先天性畸形治疗的最新进展 - 微医(挂号网)
图片尺寸812x662
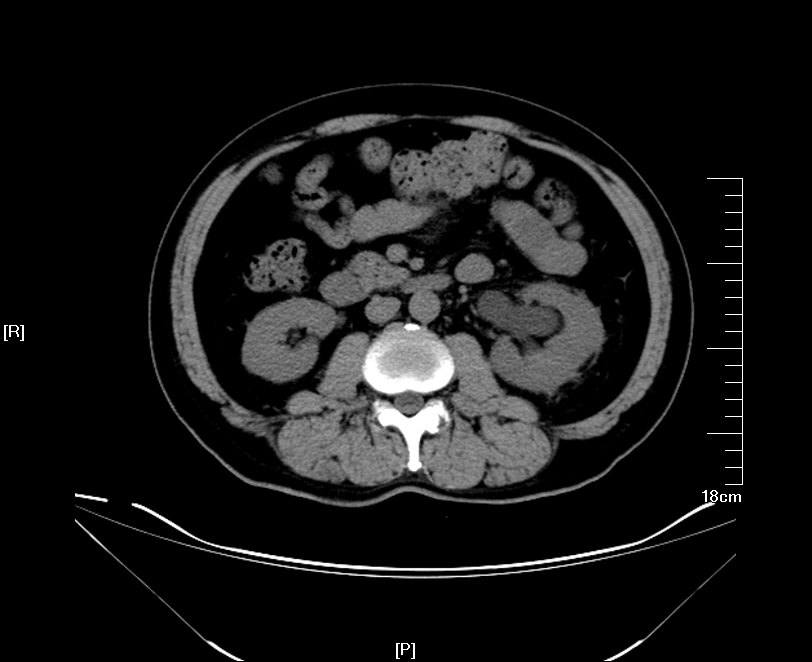
超声诊断肾脏畸形两例
图片尺寸2000x2667
肾-先天畸形 左肾发育不良
图片尺寸1080x810
肾先天性畸形
图片尺寸200x152
记我院首例重复肾,输尿管畸形腹腔镜手术成功!(副本)
图片尺寸2667x2000