肾癌病理

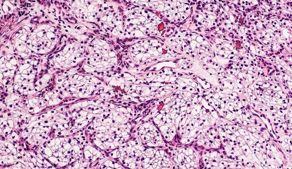
父亲发现肾癌的心路历程
图片尺寸1920x2560
肾癌劳前辈指点治疗经验
图片尺寸1512x1284
求病理高手分析肾肿瘤标本
图片尺寸1087x802
病理读图——肾癌类型鉴别系列之一
图片尺寸504x379
许先生的病理报告
图片尺寸997x826
肾肿瘤 易位性肾癌讨论病例【中华病理gu学组肾脏病理交流群病例22】
图片尺寸4032x3024
汉寿县人民医院泌尿外科成功进行一例腹腔镜下左肾癌根治术
图片尺寸1080x1440
恶性肿瘤:透明细胞型肾细胞癌解剖病理图谱
图片尺寸661x493
病理读图肾癌类型鉴别系列之二
图片尺寸507x378
肾肿瘤 易位性肾癌讨论病例【中华病理gu学组肾脏病理交流群病例22】
图片尺寸4032x3024
术后病理03腹腔镜下左侧肾癌根治术手术方案02存在的问题:转移性肾
图片尺寸1018x720
肾肿瘤 易位性肾癌讨论病例【中华病理gu学组肾脏病理交流群病例22】
图片尺寸4032x3024
肾肿瘤 易位性肾癌讨论病例【中华病理gu学组肾脏病理交流群病例22】
图片尺寸4032x3024
讨论病例【中华病理gu学组肾脏病理交流群病例44】
图片尺寸4032x3024
杀死末代皇帝的肾癌这些蛛丝马迹必须尽早发现
图片尺寸984x569
讨论病例【中华病理gu学组肾脏病理交流群病例44】
图片尺寸4032x3024
肾肿瘤 透明细胞癌伴肉瘤样分化讨论病例【中华病理gu学组肾脏病理
图片尺寸3968x2976
肾肿瘤 易位性肾癌讨论病例【中华病理gu学组肾脏病理交流群病例22】
图片尺寸4032x3024
讨论病例【中华病理gu学组肾脏病理交流群病例44】
图片尺寸4032x3024
肾血管肉瘤
图片尺寸2592x1944