肾皮质迷路

5.肾皮质迷路 (分数:90分)
图片尺寸2646x1642
肾脏皮质迷路示意图
图片尺寸200x95
肾皮质
图片尺寸1536x2048
组织学与胚胎学红蓝铅笔绘图
图片尺寸2219x1280
六,肾皮质迷路因为我们组胚上的是网课,是自己在实验本上画图然后拍照
图片尺寸1536x2048
新月体性肾小球肾炎流行性脑脊髓膜炎流脑流行性乙型脑炎乙脑粟粒性肺
图片尺寸2048x1536
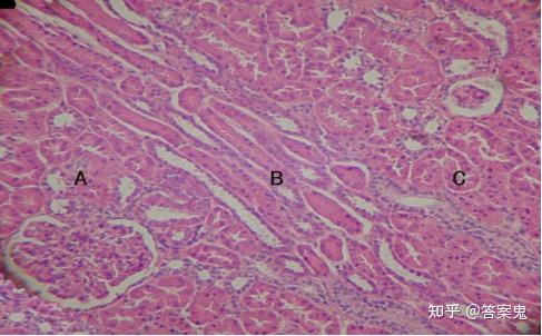
图15-1肾皮质(肾 he染色10×10) 图示肾皮质的皮质迷路(a,c)及中间的
图片尺寸487x302
肾锥体,肾小盏,肾大盏,集尿管,髓质放射部●肾皮质:肾柱,皮质迷路肾脏
图片尺寸459x295
皮质迷路和肾柱 b.髓放线和肾锥体 c.皮质浅部 d.
图片尺寸890x668
肾小管间质之皮质肾活检导读
图片尺寸974x531
组织学与胚胎学红蓝铅笔绘图
图片尺寸2048x1382
组织学泌尿系统图集
图片尺寸1080x893
纪录组胚红蓝铅笔绘图留作纪念
图片尺寸1646x1264
【组胚】肾皮质红蓝铅笔绘图教学
图片尺寸964x602
一,肾
图片尺寸316x301
大二临床病理学红蓝铅笔图
图片尺寸1536x2048
肾(肾小囊腔可以大点,看技术吧不然看不出来∠( 31 」∠)_)睾丸也算
图片尺寸2048x1536
肾小体位于皮质迷路和肾柱内,一端与肾小管相连.
图片尺寸411x580
(三)肾的构造
图片尺寸884x620
组胚红蓝铅笔手绘图知识点总结按需自取
图片尺寸2048x1536