肾盂ct

文章配图ct片中红圈内阴影表示李先生左肾重度积水)
图片尺寸898x673
(右肾)黄色肉芽肿性肾盂肾炎
图片尺寸960x720
1.jpg
图片尺寸2878x3470
术前左侧先天性肾盂输尿管移行部狭窄的ct影像改变
图片尺寸1199x1599
肾黄色肉芽肿性肾盂肾炎疑难病例影像诊断
图片尺寸571x595
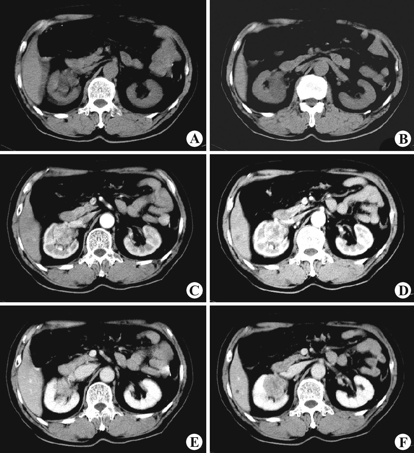
ct平扫(a,b)示双肾变形,略呈分叶状,密度不均匀,内见厚壁囊状低密度区
图片尺寸1417x1856
(右肾)黄色肉芽肿性肾盂肾炎
图片尺寸960x720
老师们,ct回示:右肾等密度突向肾盂肾盏,考虑什么呢
图片尺寸1052x592
【病例学习】肾盂旁囊肿一例ct影像表现与鉴别
图片尺寸600x600
其它 肾盂肿瘤 写美篇ct
图片尺寸1600x1200
典型病例双侧肾盂出口结石导致双肾极重度积液
图片尺寸329x347
七,肾盂癌-泌尿外科图像解剖-医学
图片尺寸2336x2430
术前ct:左肾盂重度积水
图片尺寸1080x1080
病例肾盂癌1例ct影像表现
图片尺寸512x462
f)呈低密度,低于正常肾实质,显示更加清楚图6-129:右肾盂癌ctct平扫
图片尺寸1417x1551
图6-129:右肾盂癌ctct平扫(a,b)示右肾盂,肾窦内可见一不规则团块状软
图片尺寸1417x2447
男性双下肢浮肿请诊断
图片尺寸600x450
4*14.1*11.0cm无异常血流信号.行ct及静脉肾盂造影如下.
图片尺寸1721x1109
(右肾)黄色肉芽肿性肾盂肾炎
图片尺寸960x720
慢性肾盂肾炎症状,约70%合并尿路结石,典型为鹿角样结石 ct平扫常可见
图片尺寸864x597