肾积水

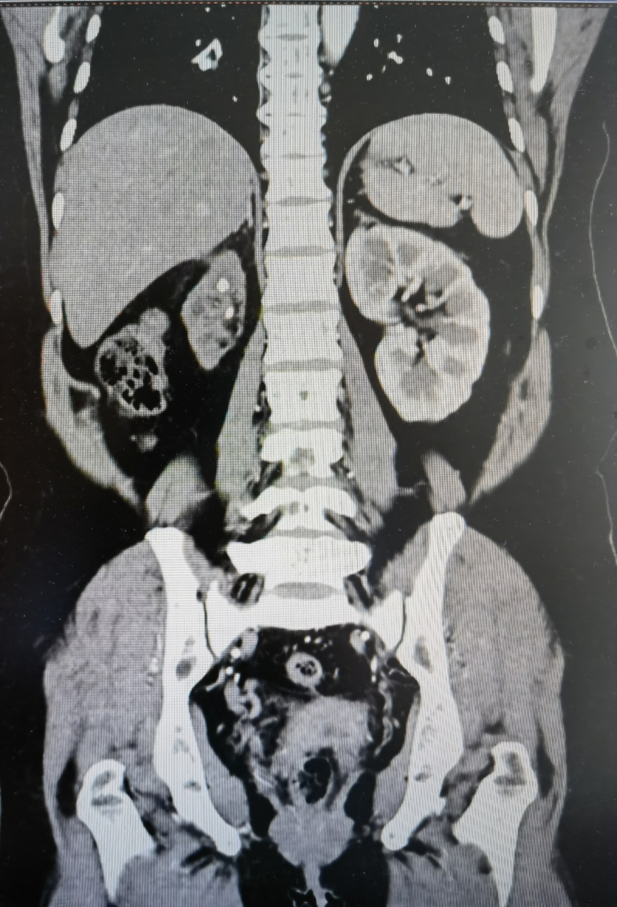
输尿管结石致重度肾积水,反复感染,肾失功,后腹腔镜无功能肾切除,难度
图片尺寸871x1280
成都肾结石医院科普注意出现肾积水一定要及时处理
图片尺寸660x209
再往不远,一颗结石堵在输尿管,不难看来这就是导致小吴重度肾积水的
图片尺寸621x341
肾积水图片
图片尺寸1242x828
四月龄宝宝左肾积水#手术日常 - 抖音
图片尺寸1920x1440
结石致重度肾积水 - 好大夫在线
图片尺寸4608x3456
肾积水不是疾病,而是肾盂处于较宽状态,因此肾盂增宽称作肾积水.
图片尺寸1925x1280
是被输尿管结石堵住,那么一边的肾脏产生的尿液就排不出来,造成肾积水
图片尺寸640x272
肾积水|肾脏|李叔_网易订阅
图片尺寸660x495
肾积水
图片尺寸535x756
2cm的肾结石并肾积水,如果没有伴随其他不适症状,一般是不严重的.
图片尺寸2218x1280
ct示:右肾积水
图片尺寸2000x2667
湖北男子双侧输尿管结石梗阻致双肾积水,专家:恐危及肾功能
图片尺寸662x369
儿童肾积水怎么办核医学科肾动态显像为您解忧
图片尺寸654x478
得了肾结石肾严重积水应该怎么办
图片尺寸569x320
新起点新跨越2—-记我科独立完成祁东县首例后腹腔镜下重度积水肾切除
图片尺寸2000x2667
这类患者不要误诊为肾积水
图片尺寸1080x1261
肾积水健康教育连载一
图片尺寸346x476
b超是诊断肾绞痛首选的筛查方法,可以快速发现是否存在结石和肾积水
图片尺寸760x544
什么是肾积水这些症状不注意有可能会损伤到肾脏健康
图片尺寸600x400