肾结核彩超图片

结核性肾盂炎病理图谱
图片尺寸596x409
肾结核
图片尺寸1280x960
肾结石b超,帮忙看看!严重吗!要怎么治疗
图片尺寸3264x1836
肾结核并侵犯睾丸(有病理)
图片尺寸768x576
【求助】肾结核超声影像
图片尺寸684x480
肾结核
图片尺寸978x749
肾结石--痛与不痛的苦恼 - 好大夫在线
图片尺寸2592x1936
原创肾结核的超声图片
图片尺寸592x406
病例5-17 肾结石伴肾盂积水
图片尺寸1984x1446
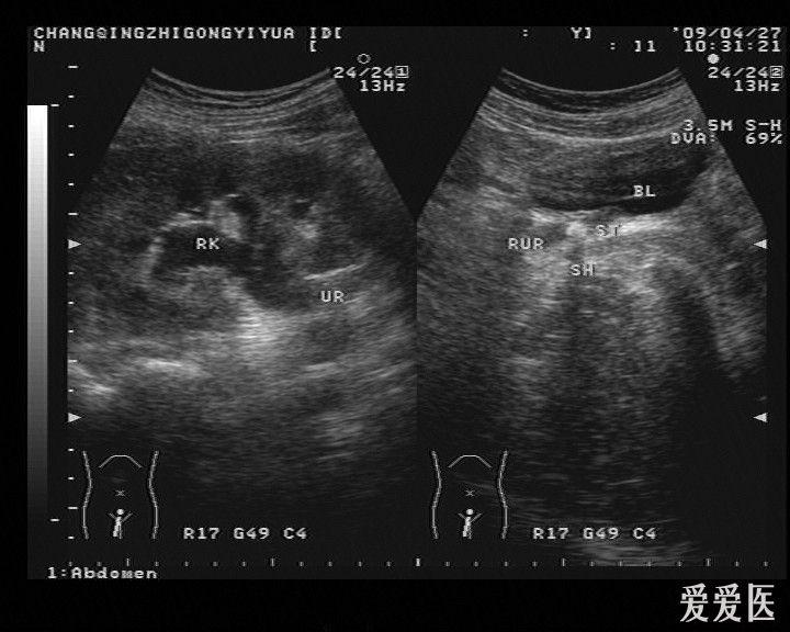
肾结核
图片尺寸653x488
肾结核
图片尺寸653x488
回复有点晚不好意思,您有您的检查结果吗 比如双肾的彩超和肾功能
图片尺寸720x960
肾结核
图片尺寸1600x2560
肾结石,肾积水怎么治疗 _肾积水怎么治疗-第1张图片-潮百科
图片尺寸750x1334
右肾结石及积水
图片尺寸640x480
双肾结石,右肾积水,右侧输尿管结石
图片尺寸4095x2303
双肾窦结石
图片尺寸2560x1920
凤凰涅盘的美篇 3月29号星期五,早晨我腰疼醒,想必肾结石又发了
图片尺寸2000x2667
怀疑肾结核
图片尺寸856x642
输尿管结石致右肾积水
图片尺寸720x576