肾脂肪瘤

肾血管平滑肌脂肪瘤知多少?肾错构瘤知多少? - 好大夫在线
图片尺寸650x488
肾错构瘤又称血管平滑肌脂肪瘤ppt课件
图片尺寸800x600
核磁诊断:左侧肾上腺髓样脂肪瘤可能,肿瘤大小约10cm,位于脾门及胰体
图片尺寸2296x1910
术前介入栓塞联合手术治疗为右肾巨大脂肪肉瘤患者保架护航
图片尺寸2304x1728
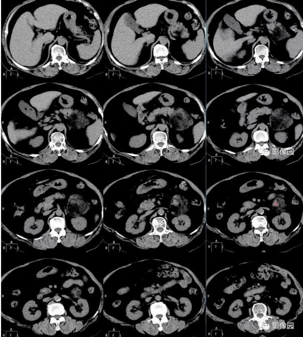
肾脏典型病例分享之血管平滑肌脂肪瘤影像学表现
图片尺寸1599x999
肾错构瘤又称血管平滑肌脂肪瘤.ppt
图片尺寸1152x864![【专题】肾血管平滑肌脂肪瘤常见ct表现. [精华]](https://i.ecywang.com/upload/1/img1.baidu.com/it/u=1187056940,36147700&fm=253&fmt=auto&app=138&f=JPEG?w=667&h=500)
【专题】肾血管平滑肌脂肪瘤常见ct表现. [精华]
图片尺寸1280x960
右侧肾上腺髓性脂肪瘤
图片尺寸605x543
从肿瘤侵及下腔静脉出发了解肾脂肪肉瘤的诊断和治疗罕见病例
图片尺寸533x493
成人肾脂肪瘤
图片尺寸548x513
右侧肾上腺髓性脂肪瘤
图片尺寸606x545
病例学习:肾上腺髓样脂肪瘤诊断要点
图片尺寸640x514
成功完成一例较大肾上腺髓样脂肪瘤的腹腔镜切除术 - 好大夫在线
图片尺寸1600x1200![【读片】肾血管平滑肌脂肪瘤的ct和mri表现小结 [病例帖]](https://i.ecywang.com/upload/1/img2.baidu.com/it/u=1879287354,2156544899&fm=253&fmt=auto&app=138&f=JPEG?w=625&h=500)
【读片】肾血管平滑肌脂肪瘤的ct和mri表现小结 [病例帖]
图片尺寸640x512
男,55岁,右肾下极8cm血管平滑肌脂肪瘤.开放手术右肾部分切除术.
图片尺寸1184x2104
少见 肾血管平滑肌脂肪瘤一例报道
图片尺寸876x876
脂肪瘤? 彩超提示:右肾查见大小约4.5*4.1cm的高回声
图片尺寸680x907
肾脏丨血管平滑肌脂肪瘤
图片尺寸960x720
清理右肾周脂肪显露右肾肿瘤
图片尺寸1920x1080
【高尚病例】髓样脂肪瘤1例_肾上腺_肿瘤_症状
图片尺寸604x673