肾脏破裂

突发多亏密云急诊室的这位医生多看了一眼救了两条命
图片尺寸1080x810
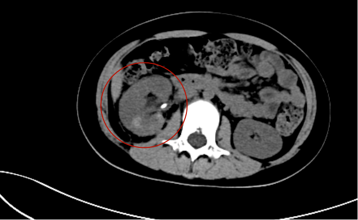
后车把手撞击腰部出现疼痛三小时来我院就诊,行ct检查提示右肾破裂,伴
图片尺寸1770x1440
【急诊影像科普】外伤肾脏破裂,ct观察重点及分级._哔哩哔哩_bilibili
图片尺寸1728x1080
6岁小孩右肾横断伤生命垂危, 人民医院多专家联合成功救治
图片尺寸2000x2667
【"星"技术】孩童十几米高处坠落摔破肾脏,我院多学科救治挽回濒临
图片尺寸715x495
坏死,腹膜后组织广泛挫伤,左肾动脉断裂,左输尿管断裂,膈肌撕脱伴破裂
图片尺寸2000x2667
危难时刻显神手.-多学科协作抢救车祸致多脏器损伤成功记
图片尺寸1699x1202
急诊科接诊一个从高处坠落的12岁的女孩,ct检查显示颅脑损伤,肝脏破裂
图片尺寸1702x1276
巨大左肾错构瘤自发性破裂出血1例 - 好大夫在线
图片尺寸1600x900
自发性肾破裂的急诊介入超选择栓塞
图片尺寸1599x1199
自发性肾破裂的急诊介入超选择栓塞
图片尺寸1599x1199
肾脏破裂
图片尺寸280x125
自发性肾破裂的急诊介入超选择栓塞
图片尺寸1199x1599
性肾切除?
图片尺寸4208x2368
雏鸡图片,请老师看看,什么原因会引起这样的病变
图片尺寸400x300
肾脏破裂
图片尺寸268x197
建筑工人不幸摔伤导致肾脏严重受损医生开展紧急救治
图片尺寸1021x913
安阳六院泌尿外科五一献礼!
图片尺寸750x1000
【"星"技术】孩童十几米高处坠落摔破肾脏,我院多学科救治挽回濒临
图片尺寸726x448
肾乳头坏死
图片尺寸300x192