肾脏破裂ct图片

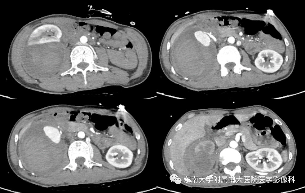
行ct检查提示右肾破裂,伴后方较大血肿及渗出(范围约7
图片尺寸1770x1440
腹盆ct,mr,x线,外伤,平片,损伤,病例,肾,肾囊肿,肾挫裂伤,肾脏,肿瘤
图片尺寸456x375
病例分享及解析肾损伤ct影像表现
图片尺寸626x509
危难时刻显神手.-多学科协作抢救车祸致多脏器损伤成功记
图片尺寸1699x1202
自发性肾破裂的急诊介入超选择栓塞
图片尺寸1599x1199
辅助检查:胸部及肾盂ct:左肾挫伤,左侧肋骨骨折,左侧胸腔积液(少量)
图片尺寸680x510
自发性肾破裂的急诊介入超选择栓塞
图片尺寸1599x1199
突发多亏密云急诊室的这位医生多看了一眼救了两条命
图片尺寸1080x810
右肾挫裂伤
图片尺寸442x320
【"星"技术】孩童十几米高处坠落摔破肾脏,我院多学科救治挽回濒临
图片尺寸715x495
讨论:外伤导致肾挫伤破裂出血亦常见,严格掌握适应症,密切监控病情
图片尺寸540x720
【"星"技术】孩童十几米高处坠落摔破肾脏,我院多学科救治挽回濒临
图片尺寸726x448
肾损伤分级的ct表现
图片尺寸646x461
病史 男,46岁,因"外伤后右侧腰部疼痛1月"入院 ct 增强
图片尺寸984x623
建筑工人不幸摔伤导致肾脏严重受损医生开展紧急救治
图片尺寸1021x913
6岁小孩肾外伤后丢失肾脏-家长需要放手不放眼! - 好大夫在线
图片尺寸1028x861
【急诊影像科普】外伤肾脏破裂,ct观察重点及分级._哔哩哔哩_bilibili
图片尺寸1728x1080
第七章泌尿生殖系统第二节泌尿系统病变四肾脏外伤丨精品连载
图片尺寸1000x992
请教肾脏ct
图片尺寸2304x3072![【影像读片】肾脏.增强ct 请教高手右肾是否有病变? [病例帖]](https://i.ecywang.com/upload/1/img1.baidu.com/it/u=1104881687,3030864734&fm=253&fmt=auto&app=138&f=JPEG?w=500&h=500)
【影像读片】肾脏.增强ct 请教高手右肾是否有病变? [病例帖]
图片尺寸512x512