肾脏ECT

肾脏ect的中医全息治疗中肾脏ect的应用价值
图片尺寸992x735
有意思的病例
图片尺寸1813x2057
动态ect检查双肾滤过功能#宝宝肾积水 #动态 ect #肾功能
图片尺寸1080x1439
肾动态显像替肾发声
图片尺寸550x589
成总ect显像检查及将开机
图片尺寸470x464
79ml/min,但我夸她肾脏保护的很好,如果没有意外,20年
图片尺寸1080x972
一个月前ect肾小球滤过率8147尿微量蛋白48正常0
图片尺寸2080x1560
ect肾功能显像的临床应用(肾图 肾小球滤过率测定).ppt
图片尺寸1152x864
如何早期防范肾脏疾病体检肾是关键
图片尺寸1080x696
局灶节段性肾小球硬化(三)fsgs
图片尺寸580x580
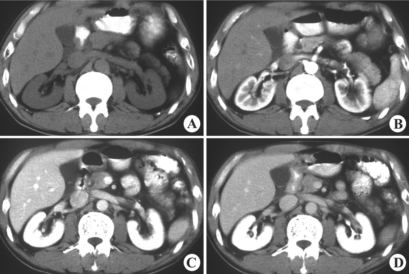
右肾积水肾体积变小,皮质变薄增强扫描右肾已不显影再进一步查双肾ect
图片尺寸3264x2448
肾脏|肌酐|滤过率|肾病|ect_网易订阅
图片尺寸660x537
他的肾脏是怎么萎缩的
图片尺寸1080x1130
泌尿系统1 - 知乎
图片尺寸1417x950
恢复四,远期疗效评估及随访建议1,两次手术,解决了两侧肾脏的梗阻问题
图片尺寸329x347
肾动态显像(ect)能准确测定左右两侧肾脏肾小球滤过率(gfr)和肾脏综合
图片尺寸1291x1600
肾脏ect了解吗需要注意些什么它可以早期发现确诊肾脏病吗
图片尺寸660x330
肾脏丨左肾eaml
图片尺寸960x540
前两天复诊,又复查了ect,复查结果竟然出乎我的预料,肾小球滤过率为
图片尺寸1080x1449
体检时发现肾脏神秘"消失",是谁偷走了他的肾?
图片尺寸551x740