肾脓肿脓肿灶

典型肾脓肿一例
图片尺寸640x440
图9肾多发性脓肿多发散在黄白色脓肿灶
图片尺寸250x438
典型肾脓肿一例
图片尺寸640x454
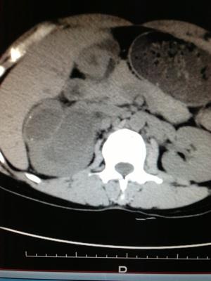
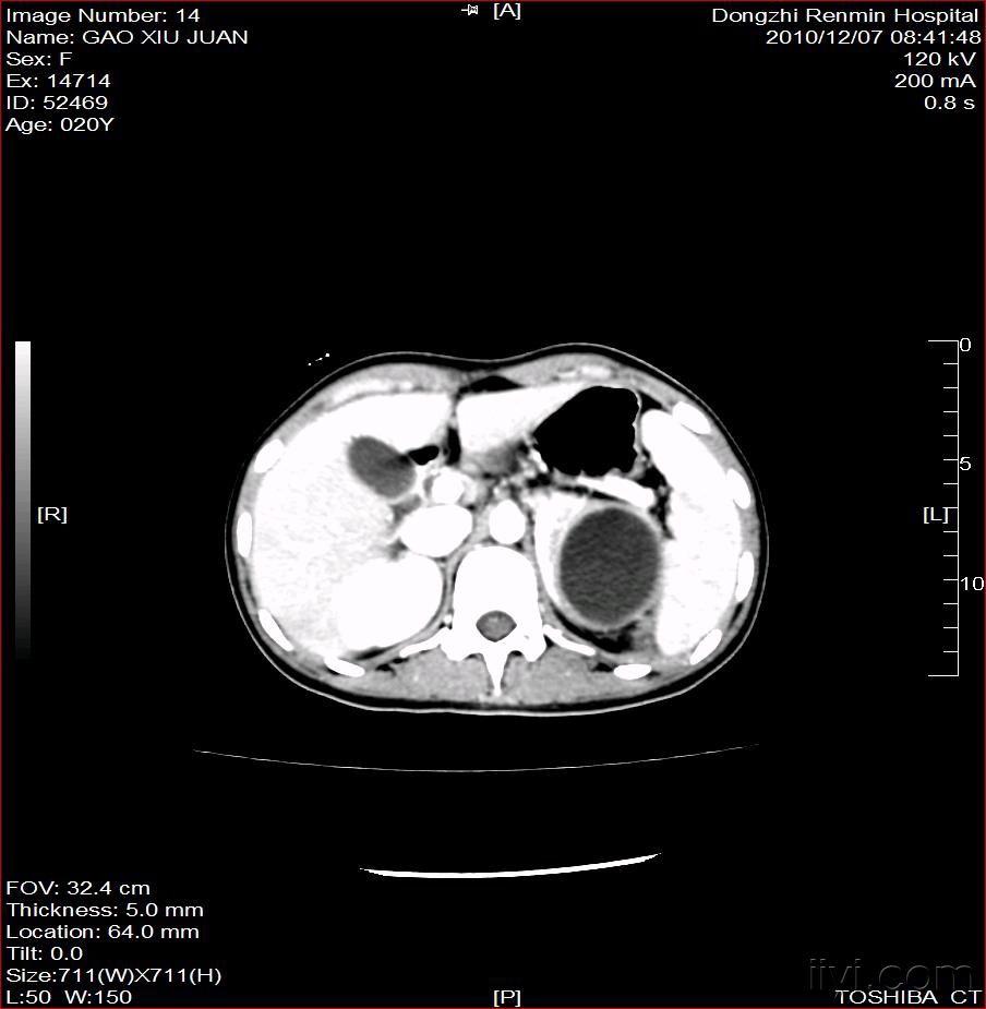
左肾脓肿(附图)
图片尺寸904x925
肾脓肿是咋回事?
图片尺寸560x345
图5-9 肾脓肿(镜下观)注:可见局限性肾组织坏死,中性粒细胞浸润,中心
图片尺寸453x620
肾脓肿-百科
图片尺寸189x150
典型肾脓肿一例
图片尺寸640x461
左肾脓肿(附图)
图片尺寸904x925
典型肾脓肿一例
图片尺寸640x434
左肾脓肿(附图)
图片尺寸904x925
左肾脓肿(附图)
图片尺寸904x925
左肾脓肿(附图)
图片尺寸904x925
肾脓肿
图片尺寸2200x1650
左肾脓肿(附图)
图片尺寸904x925
肾脏丨脓肿_鉴别
图片尺寸960x720
肾积脓
图片尺寸300x400
肾脓肿
图片尺寸300x220
肾周脓肿
图片尺寸965x837![【病例讨论】老年女性糖尿病,急性发热,左侧脓肾 [病例帖]](https://i.ecywang.com/upload/1/img1.baidu.com/it/u=916699823,1017710993&fm=253&fmt=auto&app=138&f=JPEG?w=500&h=674)
【病例讨论】老年女性糖尿病,急性发热,左侧脓肾 [病例帖]
图片尺寸780x1052