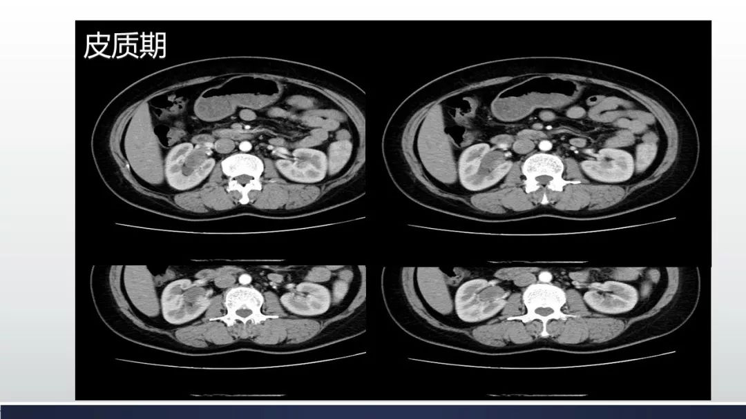
肾血管瘤

右肾盂血管瘤
图片尺寸1080x608
肾动脉旁肿物,血管瘤?
图片尺寸3120x4208
血管瘤
图片尺寸678x527
【病例】肾上腺血管瘤1例ct影像表现
图片尺寸610x517
"堵"瘤保肾巨大肾脏动脉瘤患者羊城求医成功保肾|血管瘤|手术|肾移植
图片尺寸650x357
右肾巨大血管平滑肌脂肪瘤破裂出血
图片尺寸1080x1920
肾脏丨右肾血管平滑肌脂肪瘤
图片尺寸1080x608
病例学习 | 肾脏血管平滑肌脂肪瘤一例
图片尺寸848x427
肾动脉旁肿物,血管瘤?
图片尺寸3120x4208
肾血管瘤,可见不规则的血管内充以血液,管内壁衬以单层内皮细胞
图片尺寸661x496
肾血管肉瘤
图片尺寸2592x1944
肾脏丨血管平滑肌脂肪瘤
图片尺寸960x720
98%,而其中又以癌为主,但仍有部分病人患的是肾腺瘤,肾囊肿,肾血管瘤
图片尺寸600x516
肝血管造影(肝血管瘤)肾动脉(双肾血管造影)肺动脉(肺部血管造影)头颈
图片尺寸416x554
肾病百科
图片尺寸499x582
肾血管肉瘤,可见上皮样细胞排列成片或呈原始的血管结构,部分管腔内
图片尺寸661x496
【讨论】关于血管瘤的强化表现,大家讨论
图片尺寸1024x1448
肾血管肉瘤
图片尺寸2592x1944
n00002结节性硬化并双肾多发血管平滑肌脂肪瘤
图片尺寸600x688
手术后专家简介黄任平教授,血管外科病区负责人医学博士,博士后,硕士
图片尺寸550x287