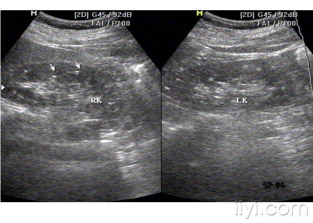
肾钙乳症

女性,20岁,无症状查体,初步诊断肾钙乳症,查阅资料,越看越像髓质海绵
图片尺寸992x744
肾钙乳症
图片尺寸2592x1944
超声入门贴767左肾钙乳症
图片尺寸560x420
请问有多发肾钙乳症吗?
图片尺寸768x576
除了健康什么都不是你的 #身体健康比什么都重要 #每个人都 - 抖音
图片尺寸1440x1920
左肾钙乳症的症状
图片尺寸325x238
囊肿型肾钙乳症
图片尺寸768x576
请问有多发肾钙乳症吗
图片尺寸768x576
右肾钙乳性囊肿0.8x0.8cm 前列腺3.4x5.1x3.6cm增生并钙化吃什么中药
图片尺寸1600x1546
极少见病人———肾钙乳(与大家分享)
图片尺寸2048x1536
【超声微课堂】肾结石和肾钙质沉着症超声表现的异同之二
图片尺寸640x480
右肾钙乳症什么意思严重吗?右肾钙乳症临床表现不明显吗
图片尺寸600x338
囊肿型肾钙乳症
图片尺寸768x576
双肾钙乳沉积
图片尺寸480x329
这是肾囊肿钙乳症吗?迫切请医生帮我解答一下.谢谢!
图片尺寸600x372
双肾多发钙化灶一例
图片尺寸645x460
极少见病人———肾钙乳(与大家分享)
图片尺寸2048x1536
超声入门贴767左肾钙乳症
图片尺寸560x420
肾结石钙乳症
图片尺寸394x370
肾钙乳症怎么办?记得做好这几点!
图片尺寸750x1000