肾错构瘤ct

三肾错构瘤
图片尺寸2344x2544
肾错构瘤,介入治疗
图片尺寸2000x2667
ct平扫 增强,考虑左肾错构瘤
图片尺寸2667x2000
此患者为老年男性,突发腹痛2天,急诊ct检查提示右肾巨大错构瘤并破裂
图片尺寸994x1354
右肾错构瘤1例
图片尺寸680x510
微创治疗—肾错构瘤(肾血管平滑肌脂肪瘤)
图片尺寸757x605
非典型的肾错构瘤容易和肾癌相混淆
图片尺寸1170x898
双肾多发错构瘤_肾错构瘤 - 好大夫在线
图片尺寸672x640
肾错构瘤破裂出血急诊手术~天门市中医医院泌尿外科
图片尺寸3022x4030
错构瘤ct平扫.jpg
图片尺寸1280x960
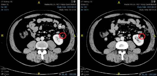
肾脏增强ct提示左肾错构瘤,红色标记处为错构瘤
图片尺寸550x269
巨大难度(肾门处)肾脏错构瘤的微创治疗 - 好大夫在线
图片尺寸3264x1840
肾错构瘤,介入治疗
图片尺寸2667x2000
肾错构瘤的保肾治疗
图片尺寸812x662
ct影像资料)益阳市第三人民医院泌尿外科陈方医生介绍,肾错构瘤是由
图片尺寸974x738
肾错构瘤,介入治疗
图片尺寸2000x2667
肾错构瘤,介入治疗
图片尺寸2667x2000
肾脏良性肿瘤之肾错构瘤_肾错构瘤_介绍_检查_治疗方式 - 好大夫在线
图片尺寸828x631
肾错构瘤,介入治疗
图片尺寸2000x2667![左肾错构瘤,完美栓塞,免除切腹之痛! [病例帖]](https://i.ecywang.com/upload/1/img2.baidu.com/it/u=2318470012,2431839358&fm=253&fmt=auto&app=138&f=JPEG?w=667&h=500)
左肾错构瘤,完美栓塞,免除切腹之痛! [病例帖]
图片尺寸3264x2448