肾错构瘤ct图片

市第一医院20厘米16厘米罕见巨大肾错构瘤患者康复出院
图片尺寸1665x1272
病史:患者男,59岁,发现左肾占位,增强ct
图片尺寸1080x1080
肾错构瘤手术记💪
图片尺寸966x1273
体检发现左肾的错构瘤,行手术切除后痊愈
图片尺寸815x669
ct检查显示右肾巨大错构瘤并破裂可能,左肾肾癌
图片尺寸994x1354
右肾门肿物,肿瘤不大可是位置刁钻,直接手术保肾难度极大,且可能
图片尺寸1857x1280
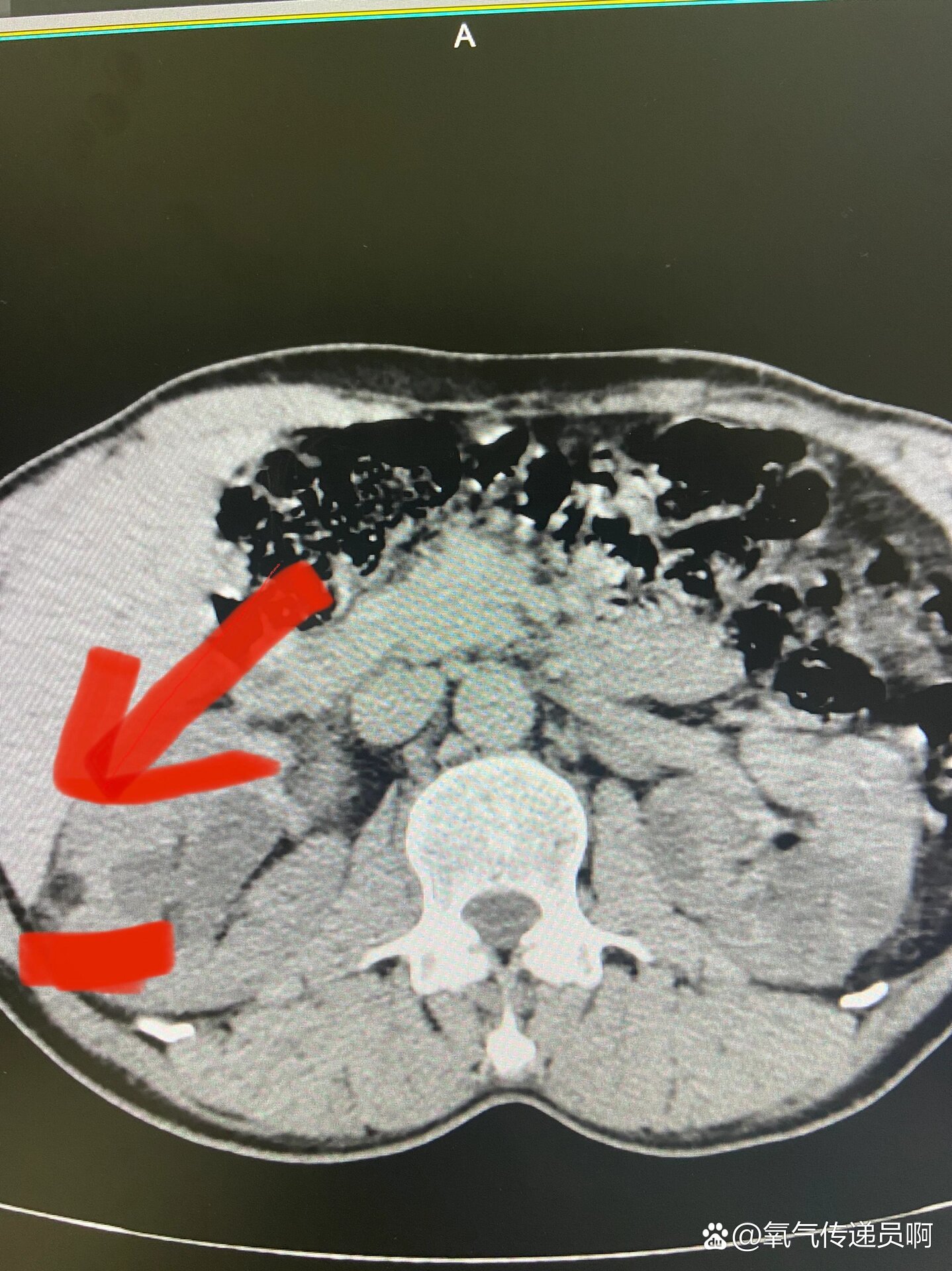
肾错构瘤(肾平滑肌脂肪瘤或肾血管肌脂肪)超声下提示为高回声,ct
图片尺寸1438x1920
腹痛伴头晕3小时,巨大肾错构瘤破裂一例
图片尺寸720x1280
右肾上极肿瘤ct2.jpg
图片尺寸5408x3680
腹痛伴头晕3小时,巨大肾错构瘤破裂一例
图片尺寸720x1280
"拆弹"专家来了 西苑医院山西医院成功完成院内首例肾巨大错构瘤微创
图片尺寸1080x779
这个类型肾脏肿瘤真是少见!请诊断分析,有结果!
图片尺寸981x1117
经ct检查发现李女士左肾出血,考虑为左肾错构瘤破裂出血
图片尺寸1706x1279
左肾错构瘤应手术吗?
图片尺寸3120x4160
错构瘤ct平扫.jpg
图片尺寸1280x960
肾上有错构瘤要紧吗
图片尺寸1242x1660
处为左肾肿瘤1红圈标示处为左肾肿瘤2基于外院ct数据的三维重建图像
图片尺寸400x888
右肾上级肿瘤ct1.jpg
图片尺寸5408x3680
ct是诊断肾错构瘤的主要方法
图片尺寸1080x667
错构瘤在ct影像中的表现
图片尺寸535x713