肾颗粒样变性

肾颗粒变性
图片尺寸640x482
晚期双肾对称性缩小,质地变硬,表面弥漫细小颗粒,切面见皮质变薄-考试
图片尺寸448x336
肾脂肪变性
图片尺寸1080x810
肾近曲小管颗粒样变性(100倍)(cellular swelling of kidney)
图片尺寸1080x810
正常肾脏(左图)纤维化的肾脏(右图)
图片尺寸640x468
肾动脉透明变性照片
图片尺寸450x300
he 染色:绿色箭头:节段性硬化;黄色箭头:均质的透明样变性
图片尺寸535x405
6,糖尿病导致的肾脏病变
图片尺寸535x218
病理 原发性颗粒性固缩肾
图片尺寸640x701
原发性颗粒固缩肾
图片尺寸400x300
肾钙化有什么症状
图片尺寸500x332
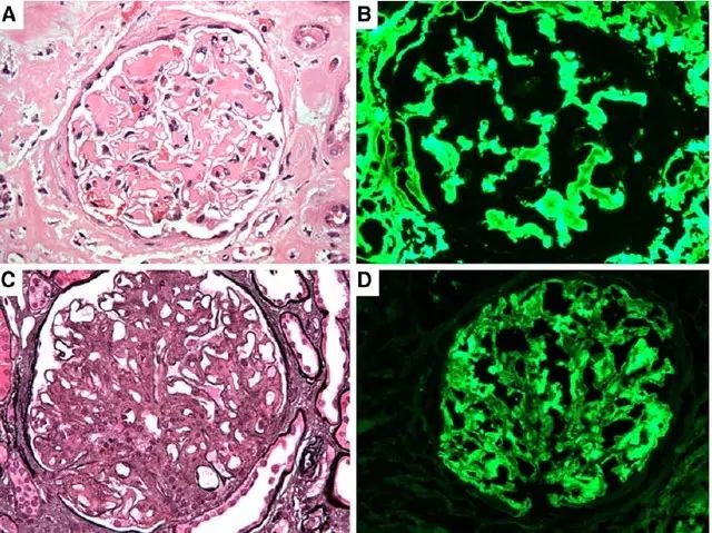
副蛋白相关肾小球疾病
图片尺寸640x479
肾长了水泡不用惊慌但必须重视
图片尺寸640x480
微小病变肾小球病2
图片尺寸477x367
肾淀粉样变性(masson染色),肾小球中心系膜区中心毛细血管和基底膜上
图片尺寸661x468
颗粒性固缩肾
图片尺寸302x387
医学生的日常 #病理切片 病理手绘图 p1 肾小管细胞水样变性
图片尺寸1080x929
正常肾脏 高血压肾脏 ,表面呈现特征性 的颗粒状
图片尺寸1080x810
溶血性尿毒综合征患者的肾脏镜检可出现如图所示的改变,关于该疾病
图片尺寸444x333
慢性肾小球肾炎: 诊断:肾小球发生玻璃样变和硬化,肾小管萎缩,间质
图片尺寸1080x810