胃壁细胞图片

胃壁正常组织学病理基础详解
图片尺寸846x677
🌿 胃壁的微妙结构与功能 🌿
图片尺寸1080x1439
【衡道丨干货】病理基础
图片尺寸846x771
🗺️ 🌀 胃壁由五种细胞组成:表面粘液细胞,颈粘液细胞,底
图片尺寸1628x1050
【衡道丨干货】病理基础
图片尺寸846x619
【衡道丨干货】病理基础
图片尺寸846x652
胃壁正常组织学病理基础详解
图片尺寸846x710
胃壁细胞结构
图片尺寸630x558
胃壁正常组织学病理基础详解
图片尺寸846x614
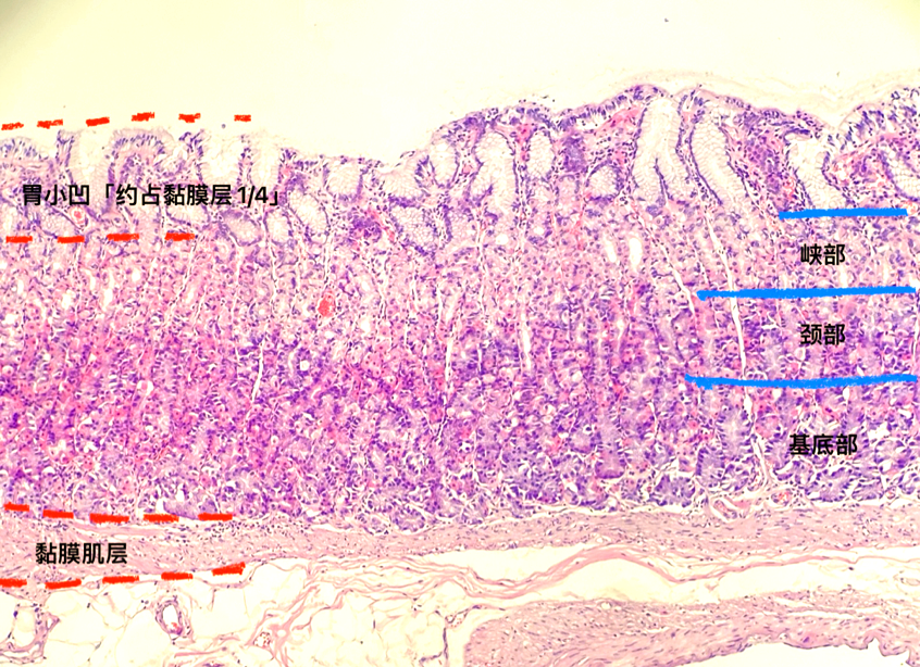
胃切片 上部为胃小凹 下部为胃底腺 胃底腺中较大嗜酸性细胞为壁细胞
图片尺寸1181x1280
很多人都不知道,其实萎缩性胃炎,有4次机会逆转?
图片尺寸1000x800
壁细胞
图片尺寸785x609
胃底部的切片观察
图片尺寸1920x1296
🔍 探索消化系统:胃底的奥秘 💫
图片尺寸1411x727
一,胃壁的解剖结构及功能
图片尺寸954x786
消化系统:十二指肠微细结构
图片尺寸1490x848
组胚-胃底部红蓝铅笔绘图
图片尺寸1408x1920
求助解答胃壁光镜图片
图片尺寸483x639
壁细胞
图片尺寸343x340
胃粘膜病变你知道的有哪些
图片尺寸595x491