胃癌ct图片 晚期

胃癌腹膜转移
图片尺寸2048x3072
晚期胃癌患者放弃治疗,肿瘤竟自行消退了
图片尺寸1080x1123
突破·胃来可期 | her2 晚期胃癌后线治疗:新型adc药物谱写生命奇迹
图片尺寸660x723
女子晚期胃癌,"转化"治疗后手术,已治愈!
图片尺寸960x704
胃ct检查需要进食不能空腹
图片尺寸1169x895
晚期胃癌病灶完全消失,双特异性抗体临床试验效果惊人
图片尺寸558x416
一例晚期胃癌成功治疗的分享
图片尺寸1024x885
晚期胃癌化疗无效怎么办
图片尺寸512x512
残胃癌:胃大部切除术后,宜定期行"胃镜,影像学等检查",大意不得.
图片尺寸690x793
胃癌病人请大家交流
图片尺寸3072x2304
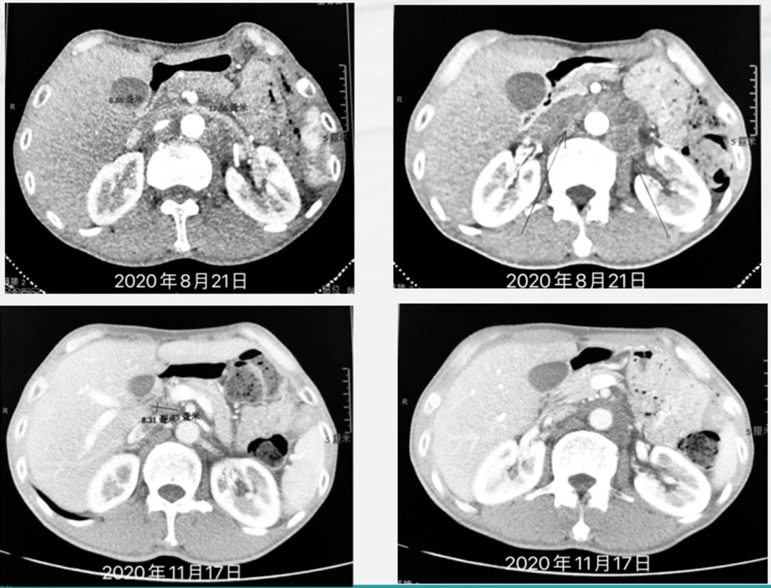
二,确诊胃癌晚期并多发转移
图片尺寸1280x1280
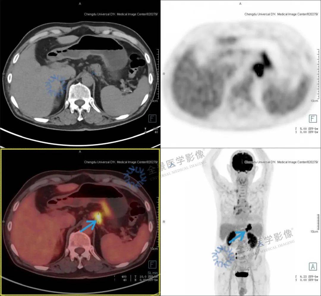
【胃癌案例】近期出现呕吐,腹泻症状,检查发现胃癌晚期
图片尺寸1080x996
5 ct图片)(2021.12.
图片尺寸3600x2764
实例鉴证,携爱而行|局部晚期胃癌患者呋喹替尼联合紫杉醇转化治疗后
图片尺寸1080x521
免疫联合化疗助力晚期胃癌患者实现r0切除
图片尺寸1080x487
实例鉴证,携爱而行|局部晚期胃癌患者呋喹替尼联合紫杉醇转化治疗后
图片尺寸938x624
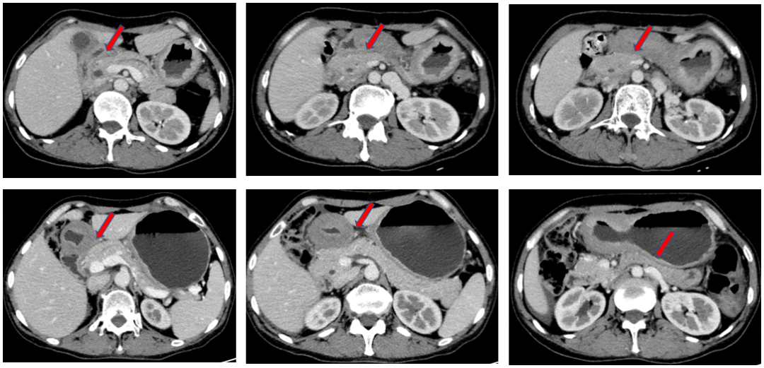
胃癌晚期肝转移化疗前后ct--典型病例梁xx,_治疗
图片尺寸1280x960
尽所能 | 存活至今,阿帕替尼联合免疫增效,"双艾" 化疗为晚期胃癌患者
图片尺寸1080x824
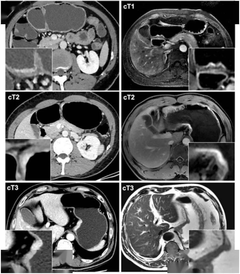
胃癌ct分期的模式图和影像图附录二:胃癌淋巴结分组no.
图片尺寸823x939
例精图治|精准治疗,再创新高,一例局晚期胃癌患者os已长达63个月
图片尺寸685x688