胃穿孔彩超图片

胃肠道穿孔超声检查诊断与定位_腾讯新闻
图片尺寸1000x608
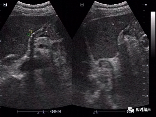
典型胃肠超声病例十九十二指肠球部溃疡穿孔保守治疗后复查
图片尺寸768x576
急性胃炎胃癌胃间质瘤异位胰腺【禁忌症】急性胃扩张,上消化道穿孔,上
图片尺寸732x525
胃穿孔:超声拯救迷路的牙签
图片尺寸640x850
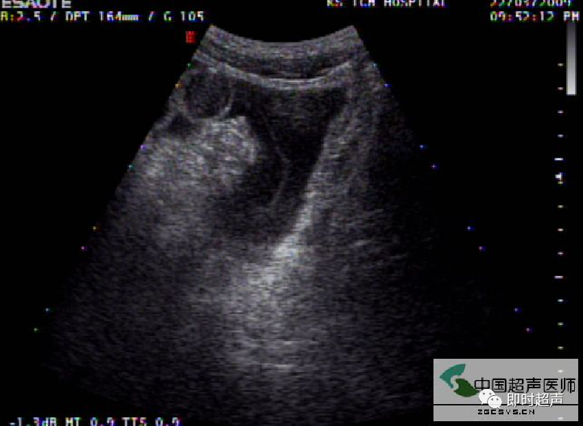
典型胃肠超声病例----------二十 胃溃疡穿孔(胃窦癌)
图片尺寸768x576
急性胃穿孔
图片尺寸680x606
胃肠道穿孔超声检查诊断与定位_腾讯新闻
图片尺寸1000x638
典型胃肠超声病例二十胃溃疡穿孔胃窦癌
图片尺寸768x576
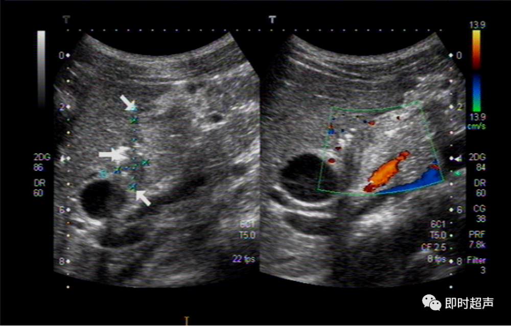
胃肠穿孔的超声诊断价值
图片尺寸640x854
典型胃肠超声病例二十胃溃疡穿孔胃窦癌
图片尺寸768x576
胃肠道穿孔超声检查诊断与定位_腾讯新闻
图片尺寸1000x628
超声未诊断出来的胃穿孔!——zengerya
图片尺寸644x459
胃肠道穿孔超声检查诊断与定位_腾讯新闻
图片尺寸1000x622
急性胃穿孔一例
图片尺寸720x540
超声入门贴143胃溃疡穿孔
图片尺寸768x576
胃肠道穿孔超声检查诊断与定位_腾讯新闻
图片尺寸850x621
胃穿孔
图片尺寸703x576
胃穿孔
图片尺寸768x576
胃肠道穿孔超声检查诊断与定位_腾讯新闻
图片尺寸540x404
典型胃肠超声病例十九十二指肠球部溃疡穿孔保守治疗后复查
图片尺寸768x576