胃穿孔ct图片

消化道穿孔ct影像大汇总看完印象深刻
图片尺寸960x720
消化道穿孔ct影像大汇总看完印象深刻
图片尺寸960x720
什么是消化道穿孔?
图片尺寸640x480![形形色色的消化道穿孔,坑真多![收藏]](https://i.ecywang.com/upload/1/img2.baidu.com/it/u=310581782,786255182&fm=253&fmt=auto&app=120&f=JPEG?w=500&h=375)
形形色色的消化道穿孔,坑真多![收藏]
图片尺寸1080x810
消化道穿孔的ct诊断
图片尺寸960x720
急性胃肠道穿孔
图片尺寸720x960
消化道穿孔的ct诊断
图片尺寸960x720
急性胃穿孔
图片尺寸678x557
消化道穿孔的ct诊断
图片尺寸960x720
消化道穿孔的ct诊断
图片尺寸960x720
怀远上和医院普外科成功为八旬老人进行胃穿孔修补术
图片尺寸628x594
消化道穿孔的ct诊断
图片尺寸960x720
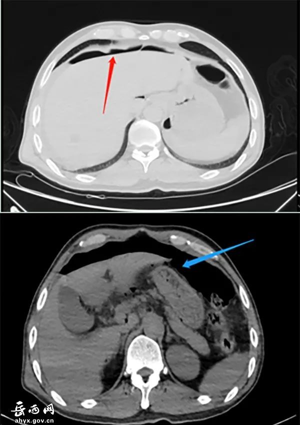
胃穿孔的检查
图片尺寸3328x1872
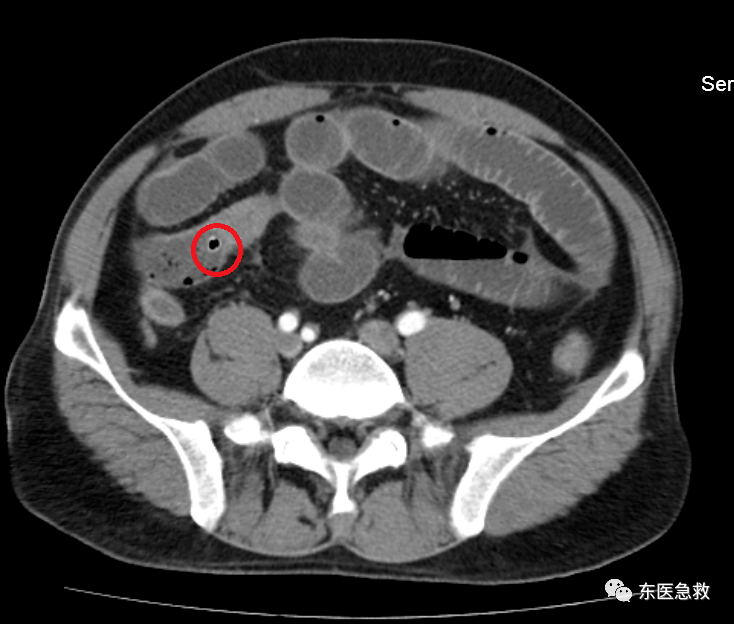
在ct图像上,医生发现了一个一个的小黑点,考虑金叔叔应该是小肠穿孔
图片尺寸734x624
烧酒杨梅不止痛,一查竟是胃穿孔
图片尺寸1080x810
县医院成功抢救胃溃疡巨大穿孔患者生命
图片尺寸600x850
医说健康滥用止痛药警惕胃穿孔
图片尺寸660x567
治疗期间出现腹痛难忍,行上腹部ct检查提示:胃窦部穿孔,急诊行胃穿孔
图片尺寸2048x1394
急性胃穿孔
图片尺寸680x606
消化道穿孔的ct诊断
图片尺寸960x720