胃窦超声图像

胃内异物伴胃窦部胃壁增厚:胃超声检查已经被写入胃癌诊疗规范(2018版
图片尺寸768x576
遭遇饱胃患者,你应该这样做胃超声检查!
图片尺寸640x528
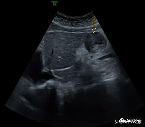
超声检查图像:胃窦切面 黄箭头指向病灶胃声学造影诊断思路分析:该
图片尺寸1080x810
胃超声图像
图片尺寸720x576
当超声医生听到医生我的胃不舒服你帮我看下胃有没有问题
图片尺寸872x623
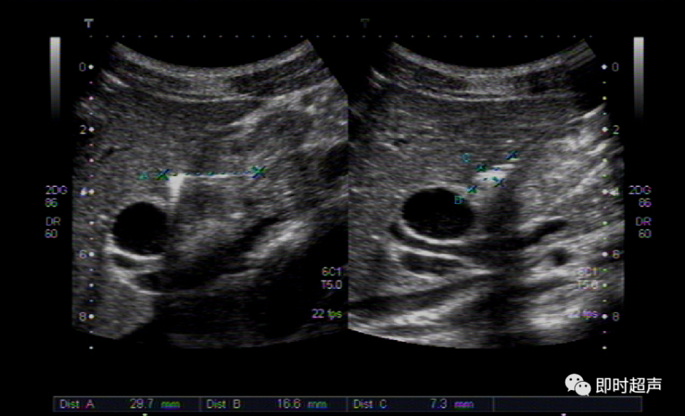
十二指肠球部溃疡:胃小弯侧间质瘤:胃内异物伴胃窦部胃壁增厚:胃超声
图片尺寸768x576
正常胃超声图像(10月8日更正)
图片尺寸663x436
超声用于胃内容物的评估
图片尺寸1299x545
剑突下扫查发现的胃窦占位性病变
图片尺寸638x473
正常胃超声图像(10月8日更正)
图片尺寸554x431
重症超声床边获得胃窦超声切面
图片尺寸708x729
超声检查胃--给你的胃多一个选择_胃病_检查_相关疾病 - 好大夫在线
图片尺寸554x302
【医疗动态】平度市第三人民医院超声科诊断浸润型胃窦癌一例
图片尺寸720x576
重症超声床边获得胃窦超声切面
图片尺寸705x708
胃窦部ca - 超声医学讨论版 - 爱爱医医学论坛
图片尺寸768x576
胃肠道穿孔超声检查诊断与定位_腾讯新闻
图片尺寸1000x608
宜良瑞仁医院开展胃肠超声检查了!
图片尺寸2298x2000
一文带你快速掌握胃部超声技术
图片尺寸1080x608
极简胃超声指南一学就会
图片尺寸1080x608
超声提示:胃窦增厚,考虑占位.
图片尺寸508x443