胃窦ct解剖图

胃胃ct横断解剖
图片尺寸900x1815
来南翔医院就诊,在排查腹痛原因行ct检查时,发现胃窦部见一小纺锤形高
图片尺寸817x545
消化道正常影像解剖之——胃
图片尺寸676x440
胃窦小弯胃窦小弯侧
图片尺寸640x640
5mm,但有两个区域厚度常常超过5mm,一是贲门,另一个是胃窦(图5-2)
图片尺寸746x969
掌握这篇解剖,晋级腹部ct影像诊断高手!
图片尺寸640x426
ct诊断误区胃窦壁增厚的诊断难点及误区这几点千万注意
图片尺寸518x437
加重1月"入院,结合上腹部ct,胃镜,病理检查结果,诊断为:1,胃窦恶性
图片尺寸512x512
晚期胃窦癌术后肝转移,该如何治疗?
图片尺寸504x575
性结节样肿块,边缘光滑跨壁生长低密度肿块,密度均匀;多位于胃窦肌层
图片尺寸946x732
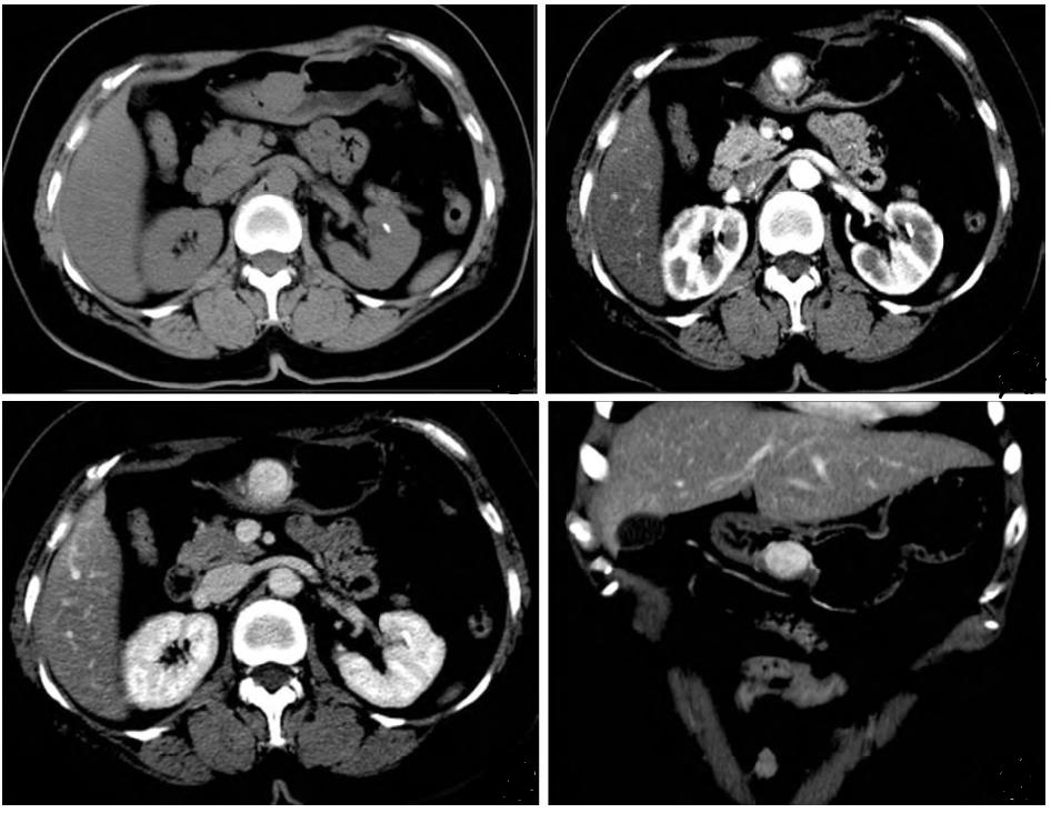
图2:动脉期图1:平扫全身pet/ct示:胃窦小弯侧内凸结节,代谢稍增高
图片尺寸668x465
中山大学教学-胃肠道疾病影像诊断总论82页幻灯 结肠癌 胃溃疡 胃窦癌
图片尺寸1080x810
胃癌导致3个月不能进食手术如何解除痛苦
图片尺寸600x660
胃癌的ct诊断及tnm分期ppt
图片尺寸1080x810
探案:不可轻视的消化道异物
图片尺寸600x349
(1) 腹部ct:膈下多发游离气体,考虑胃窦部穿孔机会大.辅助检查t:38.
图片尺寸554x554
胃窦部大面积溃疡医生说是中期
图片尺寸1386x1040
胃间质瘤的ct诊断与鉴别诊断影像天地
图片尺寸960x720
上腹部ct平扫,发现胃窦小弯侧壁增厚. 建议增强ct扫描
图片尺寸750x611
胃窦部病变是良性还是恶性
图片尺寸550x217