胃粘膜组胚

组胚绘图9胃底黏膜胃底腺
图片尺寸1080x856
黏膜图片
图片尺寸451x300
胃黏膜是胃部的护城河,这样做才能保护胃黏膜,学会可受益一生
图片尺寸640x453
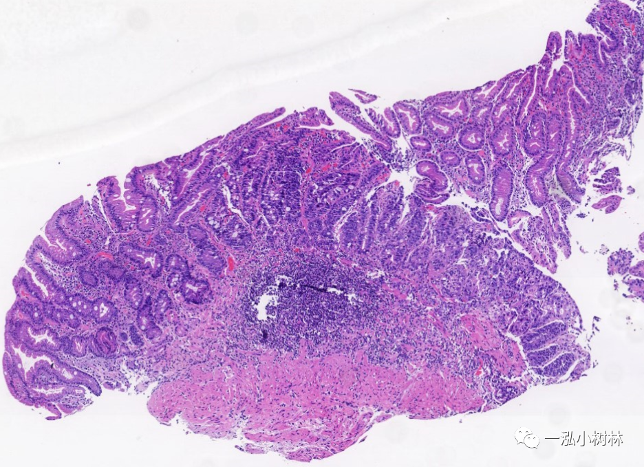
肠化的胃粘膜
图片尺寸936x468
胃粘膜切面的特写
图片尺寸1200x798
胃底.jpg
图片尺寸2592x1944
胃的黏膜较厚,呈浅红色,胃空虚时,黏膜皱襞较多.
图片尺寸700x500
组胚绘图9-胃底(黏膜 胃底腺)
图片尺寸1707x1280
内镜集锦:内镜下正常胃十二指肠黏膜结构_医学界-助力医生临床决策和
图片尺寸936x679
胃底- 消化系统图片-组胚图谱 - 37度医学网
图片尺寸1352x948
正常胃粘膜
图片尺寸960x720
组胚绘图9-胃底(黏膜 胃底腺)
图片尺寸1707x1280
胃粘膜
图片尺寸412x620
组织学与胚胎学(组胚)切片实验实习四(共五)ppt
图片尺寸1080x810
胃底部黏膜:表面黏液细胞及胃小凹 医学课件
图片尺寸1080x810
有争议的胃粘膜活检
图片尺寸960x720
胃窦部黏膜组织活检镜下如图所示胃黏膜发生的有关病变的描述错误的是
图片尺寸516x386
胃镜活检,是印戒细胞还是正常细胞?
图片尺寸1024x768
组织学,胃,膜
图片尺寸600x395
为什么胃病如此常见?
图片尺寸800x594