胃肠道穿孔x线

肠穿孔征像
图片尺寸4032x3024
胃肠道穿孔在x线检查中的表现与诊断注意事项
图片尺寸515x593
消化道穿孔
图片尺寸1280x960
胃肠道穿孔x线的表现,医生告诉你!
图片尺寸1242x1660
急性胃肠道穿孔
图片尺寸720x960
消化道穿孔患者的护理,这些方面很重要!
图片尺寸460x256
警惕惠州3岁娃肠穿孔紧急送院原因是
图片尺寸1080x1440
正侧位看消化道穿孔确诊穿孔后,进行手术前需做胸部正侧位数字x线摄影
图片尺寸824x686
肠梗阻穿孔
图片尺寸1125x1339
图谱集合消化道穿孔
图片尺寸1920x1080
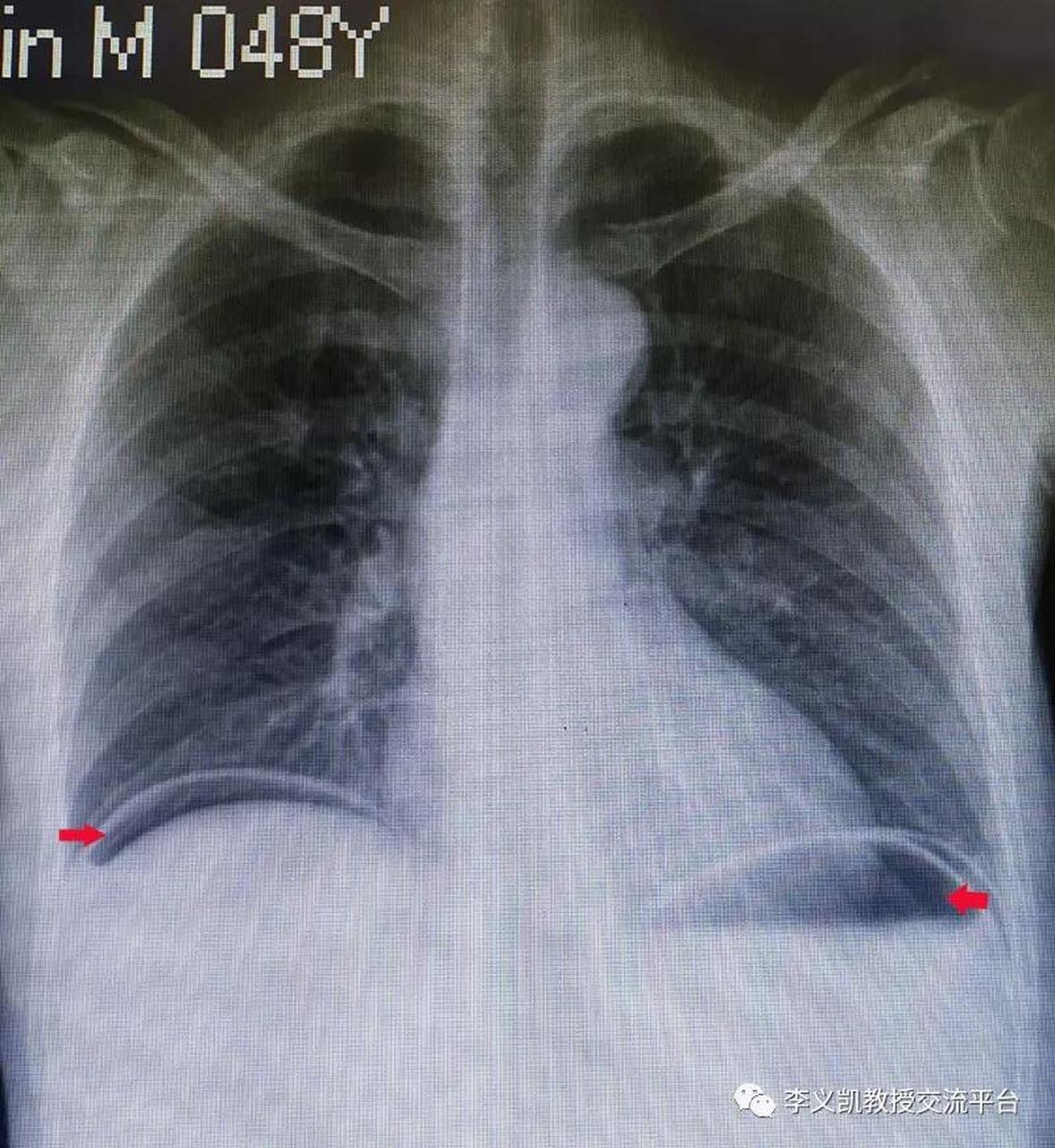
小心有胃肠穿孔 本例患者的双侧膈下均有气体,此征象多是胃肠穿孔所
图片尺寸1177x1280
3岁幼童6处肠穿孔!从惠安转到泉州儿童医院
图片尺寸660x640
图谱集合消化道穿孔
图片尺寸1920x1080
上消化道造影
图片尺寸1080x1439
消化道穿孔
图片尺寸600x353
图谱集合消化道穿孔
图片尺寸1920x1080
早产儿出生才1天便遭遇胃穿孔,广州医生跨院区协作成功救治
图片尺寸882x749
胃穿孔
图片尺寸2514x2514
新生儿自发性肠穿孔
图片尺寸720x937
耄耋老人突发小肠穿孔 怀远上和医院外科及时手术保平安
图片尺寸990x1267