胃肠道肿瘤

小肠间质瘤合并多发腹腔转移肿瘤
图片尺寸3039x2247
小肠原发的胃肠间质瘤图3.小肠间质瘤合并多发腹腔转移肿瘤
图片尺寸3018x1994
多发群体正在加载胃肠道间质瘤胃肠道间质瘤占胃肠道恶性肿瘤的1~3%
图片尺寸300x275
消化道肿瘤筛查哪些人需要提高警惕消化道疾病科普园地1
图片尺寸1024x680
肠肿瘤
图片尺寸500x318
多学科诊疗,机器人辅助微创治疗胃肠道恶性肿瘤-天津医科大学总医院
图片尺寸600x800
64排ct查肠肿瘤图片
图片尺寸741x600
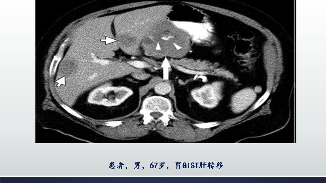
胃肠道间质瘤(gist)影像表现_肿瘤
图片尺寸1080x608
现代胃肠道肿瘤诊疗学临床肿瘤内科书籍 肿瘤内科学 复旦大学出版社
图片尺寸800x800
肠肿瘤
图片尺寸500x302
胃肠道间质瘤的ct诊断丨影像天地
图片尺寸960x720
早期胃肠道 !--haodf:8:zhongliu-->肿瘤 !
图片尺寸800x451
怀疑消化道肿瘤胃肠镜检查一定可以确诊吗不一定的
图片尺寸1024x849
增强ct进一步证实为胃间质瘤,靠近胃窦部,肿瘤大小5.7×3.
图片尺寸2109x1581
肠肿瘤
图片尺寸500x375
结肠癌是一种常见的胃肠道肿瘤,是一种起源于肠黏膜的恶性肿瘤.
图片尺寸707x463
胃肠道间质瘤(gist)影像表现_肿瘤
图片尺寸1080x608
胃肠道间质瘤(gist)影像表现_肿瘤
图片尺寸1080x608
胃肠道间质瘤影像表现丨影像天地
图片尺寸960x720
不开刀治疗消化道肿瘤罗湖中医院成功开展首例ese
图片尺寸1080x939