胃腺瘤

胃腺瘤图片(三)
图片尺寸512x442
胃腺瘤图片(三)
图片尺寸512x442
胃腺瘤
图片尺寸640x447
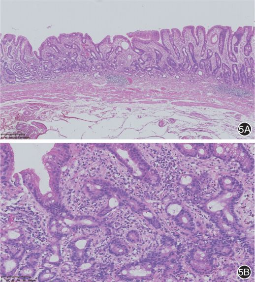
胃腺瘤或异型增生
图片尺寸2048x1536
胃腺瘤
图片尺寸640x517
家属沟通后,完善术前评估,为张大爷实施了内镜下胃黏膜下剥离术(esd)
图片尺寸758x485
胃间质瘤
图片尺寸375x300
胃小凹型腺瘤
图片尺寸470x241
小凹型胃腺瘤
图片尺寸300x292
日本胃腺瘤及早期高分化腺癌的病理诊断
图片尺寸515x563
胃腺瘤或异型增生
图片尺寸2048x1536
1%),腺瘤周围胃黏膜发生胃癌风险是
图片尺寸1000x864
罕见病例hp阴性低异型度胃型腺癌并增生性息肉
图片尺寸600x522
【j clin oncol】轻表型家族性腺瘤性息肉病患者胃异型增生全胃切除术
图片尺寸1280x872
胃腺瘤是怎么造成的 胃腺瘤
图片尺寸800x814
日本胃腺瘤及早期高分化腺癌的病理诊断_腾讯新闻
图片尺寸518x574
【消化一科】胃癌的近亲——胃息肉,你了解多少?
图片尺寸1080x810
胃腺癌
图片尺寸1080x1439
这名患者胃内已经有一个腺瘤发生了癌变,也通过胃镜完整切除,愈合良好
图片尺寸750x640
新闻中心 健康科普胃息肉大概有两种类型,即炎症性(增生性)息肉和腺瘤
图片尺寸400x336