胃镜活检图片

无痛胃镜的检查过程中为患者取活检!
图片尺寸1199x1599
内镜下活检,质脆,可见出血
图片尺寸1080x1440
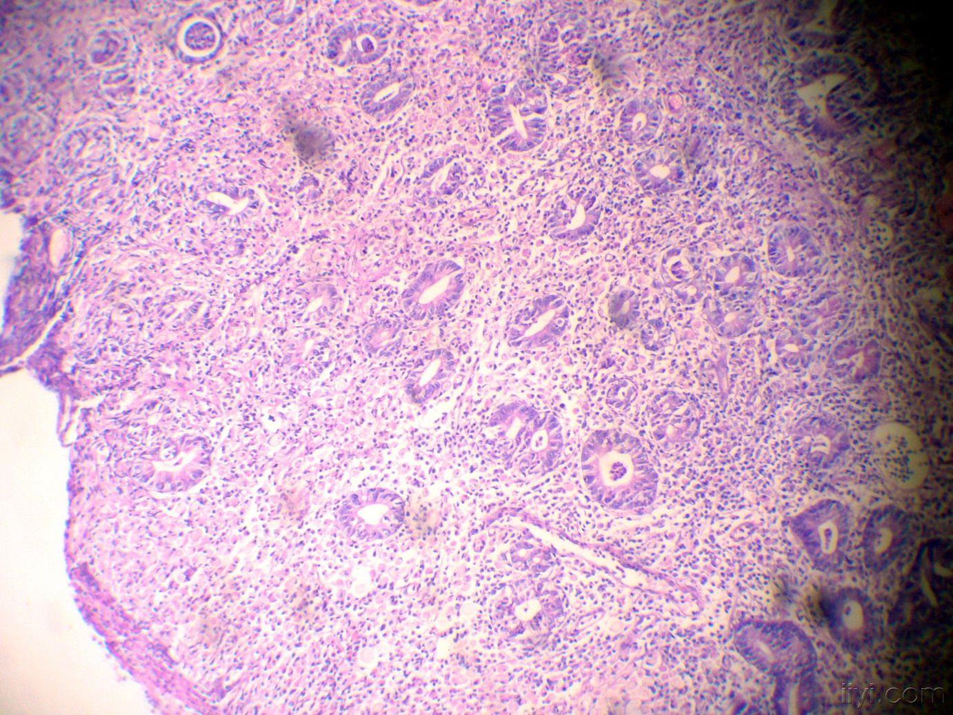
胃镜活检:小凹上皮型腺瘤?讨论病例【山东省消化道早癌病理群228】
图片尺寸4032x3024
岳西博爱医院在无痛胃镜检查中发现一例早期胃癌
图片尺寸1050x887
胃镜下取活检
图片尺寸1280x1707
胃溃疡活检
图片尺寸800x600
哪些胃病患者需要做胃镜时取活检
图片尺寸640x360
胃溃疡活检
图片尺寸800x600
胃窦部黏膜活检
图片尺寸4032x3024
胃镜是食管,胃,十二指肠疾病最常用的和最准确的检查方法,结肠镜则
图片尺寸640x853
20170609m64y胃镜活检
图片尺寸600x800
胃黏膜活检
图片尺寸4032x3024
胃黏膜活检
图片尺寸4032x3024
胃角活检
图片尺寸800x600
胃镜活检
图片尺寸1382x1037
胃镜检查为什么要活检?
图片尺寸720x960
胃窦部黏膜活检
图片尺寸4032x3024
肠胃镜检查结果
图片尺寸1080x1439
胃黏膜活检
图片尺寸4032x3024
胃窦近幽门处粘膜活检
图片尺寸1113x1024