胃镜病理

胃溃疡活检 - 华夏病理网论坛
图片尺寸800x600
爸爸的胃镜病理报告,求求各位帮忙看看!
图片尺寸1080x1258
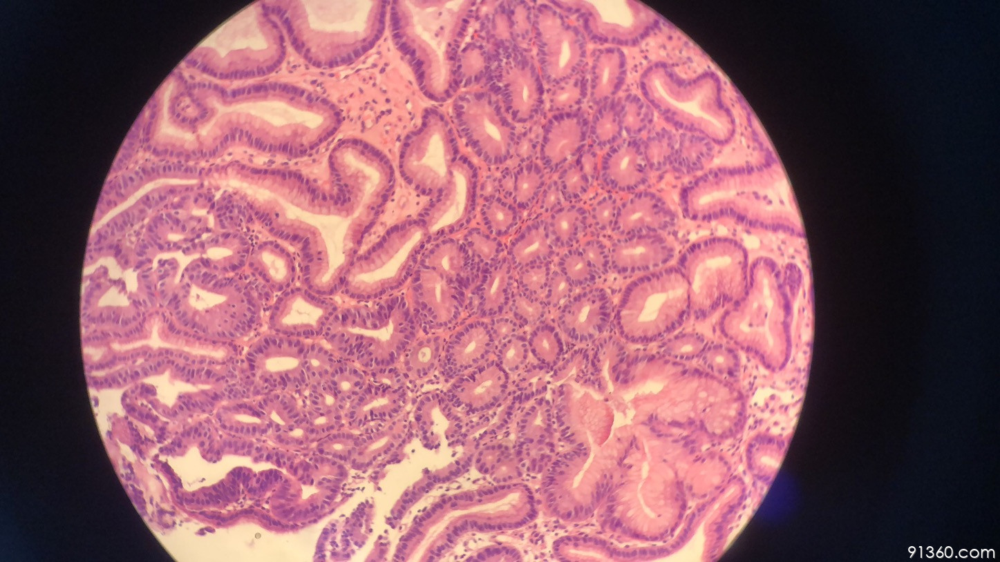
16【91360消化病理沙龙病例讨论349】
图片尺寸4032x3024
问:你好我刚做的胃镜请主任看一下有什么大毛病没
图片尺寸920x1632
河南可信赖的治疗慢性胃炎推荐-濮阳去哪治慢性胃炎好
图片尺寸800x599
16【91360消化病理沙龙病例讨论349】
图片尺寸4032x3024
爸爸的胃镜病理报告,求求各位帮忙看看!
图片尺寸1080x1182
胃镜病理诊断:(胃窦)粘膜慢性中度炎伴轻度活动性改变,重度肠化,肠化
图片尺寸1200x1600
2016年2月18日第四次超声胃镜病理.jpg
图片尺寸1334x1001
胃角esd高级别讨论病例山东省消化道早癌病理群
图片尺寸3968x2976
胃镜组织,0.3x0.3,83岁 - 消化系统 - 91360病理论坛
图片尺寸4160x3120
胃镜组织,0.3x0.3,83岁 - 消化系统 - 91360病理论坛
图片尺寸4160x3120
胃镜组织,0.3x0.3,83岁 - 消化系统 - 91360病理论坛
图片尺寸4160x3120
胃镜组织,0.3x0.3,83岁 - 消化系统 - 91360病理论坛
图片尺寸4160x3120
胃窦部充血糜烂 考虑肠型高级别讨论病例【山东省消化道早癌病理群】
图片尺寸4608x3456
胃窦部黏膜活检 - 消化系统 - 91360病理论坛
图片尺寸4032x3024
胃窦萎缩性胃炎伴hp感染讨论病例ibd病理群病例14
图片尺寸1280x960
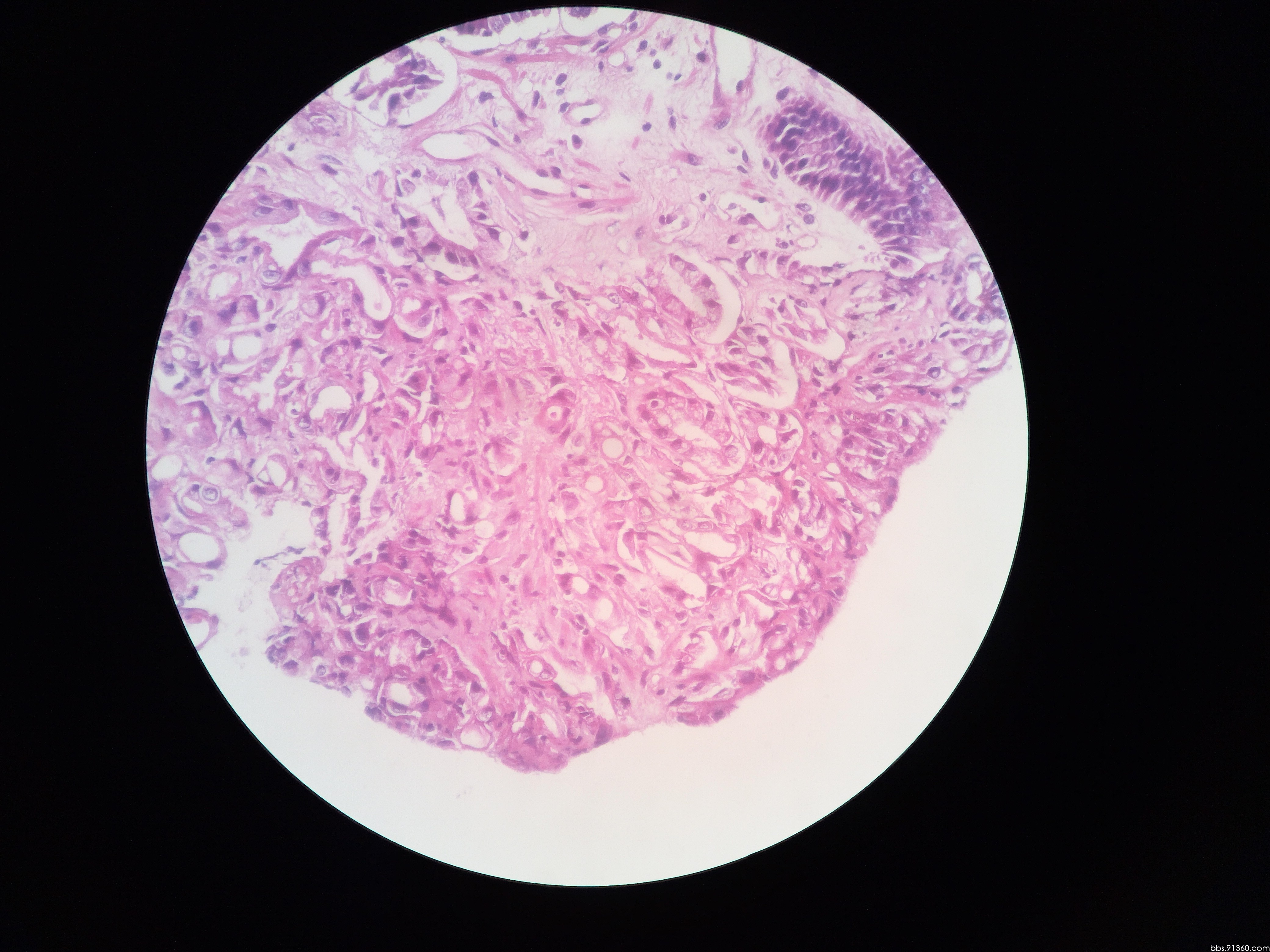
胃镜活检:小凹上皮型腺瘤?讨论病例【山东省消化道早癌病理群228】
图片尺寸4032x3024
做胃镜前为什么要做那么多检查是医院在乱收费吗
图片尺寸1080x810
胃镜活检:小凹上皮型腺瘤?讨论病例【山东省消化道早癌病理群228】
图片尺寸1447x814