胃ct

典型: 皮革胃
图片尺寸612x816
急性胃扩张治疗复查ct.jpg
图片尺寸541x960
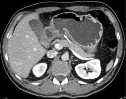
术前ct可见胃底部近脾脏处胃后壁肿瘤,大小不足2cm.
图片尺寸1283x951
消化道正常影像解剖之——胃
图片尺寸639x478
图2:动脉期图1:平扫全身pet/ct示:胃窦小弯侧内凸结节,代谢稍增高
图片尺寸668x465
上腹部ct平扫,发现胃窦小弯侧壁增厚. 建议增强ct扫描
图片尺寸750x611
胃平滑肌肉瘤1例ct影像
图片尺寸1022x956
典型皮革胃
图片尺寸1600x1200
胃腔占位病变,有病理结果
图片尺寸761x1493
腹部ct可见巨大胃结石
图片尺寸600x466
一文读懂急性胃痛ct检查表现
图片尺寸392x257
胃平滑肌肉瘤1例ct影像
图片尺寸1022x1590
刀锋的两侧--记一例胃巨大肿瘤
图片尺寸3024x2397
如果多次胃镜或者超声胃镜活检仍为阴性,而ct或x线造影高度怀疑时,可
图片尺寸612x523
增强ct进一步证实为胃间质瘤,靠近胃窦部,肿瘤大小5.7×3.
图片尺寸2109x1581
急性胃痛影像表现
图片尺寸415x326
胃胃ct横断解剖
图片尺寸900x1815
典型皮革胃
图片尺寸1600x1200
华康科普做腹部ct检查为什么要让病人多喝水
图片尺寸1080x915
患者女性55岁,间歇性上腹部不适半年,行ct检查发现胃部肿块,磁共振
图片尺寸640x512