胆囊炎双边征

胆囊双边征
图片尺寸640x480
胆囊体积增大壁增厚,典型双边征,明确诊断后,请示陈主任,果断建议行
图片尺寸854x640
胆囊壁呈双边征改变,并可见宽基底占位性病变
图片尺寸710x568
胆囊炎的诊断与外科治疗-医梦园国家医学考试网站 - powered by
图片尺寸418x260
超然精彩病例欣赏之——急性胆囊炎并胆囊结石,胆泥团形成
图片尺寸640x480
超然精彩病例欣赏之——急性胆囊炎并胆囊结石,胆泥团形成
图片尺寸600x450
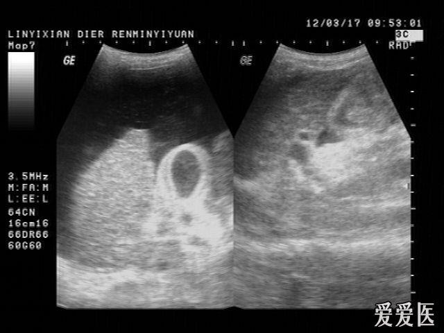
急性胆囊炎的超声表现
图片尺寸600x988
胆囊炎的超声特点是双边征(因为炎症导致胆囊壁水肿所致),胆囊壁增厚
图片尺寸1080x819
胆囊体积增大,囊壁增厚呈"双边影". 2.囊内可见细密光点或斑片状回声.
图片尺寸591x734
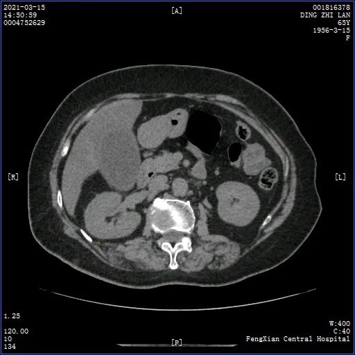
题库 临床资料:男,64岁,自述右上腹不适,持续性隐痛;乙型肝炎病史20年
图片尺寸537x383
因为上腹部疼痛伴高热2天,丁阿姨被我院急诊外科拟急性胆囊炎后收治
图片尺寸512x512
颈椎病x线诊断ppt
图片尺寸1080x810
腹腔镜与开腹手术治疗急性结石性胆囊炎的临床效果观察
图片尺寸400x169
保胆取息肉术微创治疗胆囊良性息肉
图片尺寸2976x3237
你见过双胆囊畸形吗?
图片尺寸606x433
3. 双边征
图片尺寸1024x775
4cm,常有双边征.对提示胆囊炎有较大价值.
图片尺寸3264x2448
腰椎双边征影像表现,颈椎双边征影像_大山谷图库
图片尺寸521x1556
23ttsx笔记电子版
图片尺寸960x1280
腰椎双边征影像表现,颈椎双边征影像_大山谷图库
图片尺寸1080x1396