胆囊腺肌症ct图像

胆囊腺肌症影像表现及鉴别
图片尺寸640x480
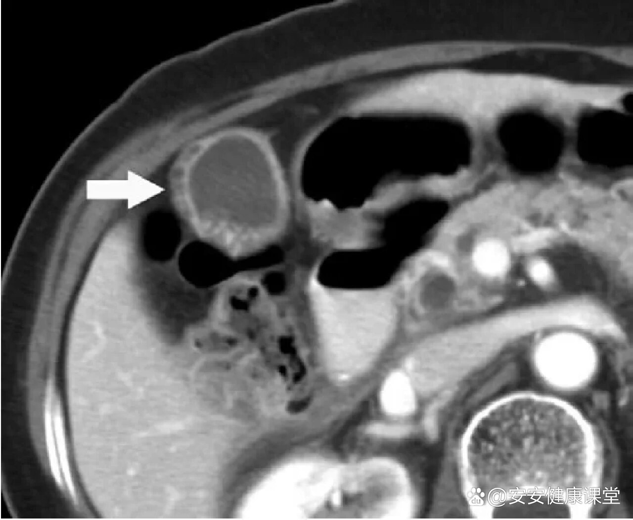
病例胆囊腺肌症1例ct及mr影像表现
图片尺寸1361x1001
胆囊腺肌症影像表现及鉴别
图片尺寸640x480
【病例】胆囊腺肌症1例ct影像表现 – 影像ppt
图片尺寸960x720
【病例】胆囊腺肌症1例ct影像表现
图片尺寸960x720
胆囊腺肌症合并胆囊结石和胆囊息肉可以微创保胆手术吗
图片尺寸720x606
胆囊腺肌症影像表现及鉴别
图片尺寸640x480
病例胆囊腺肌症1例ct及mr影像表现
图片尺寸960x720
胆囊腺肌症影像表现及鉴别
图片尺寸640x480
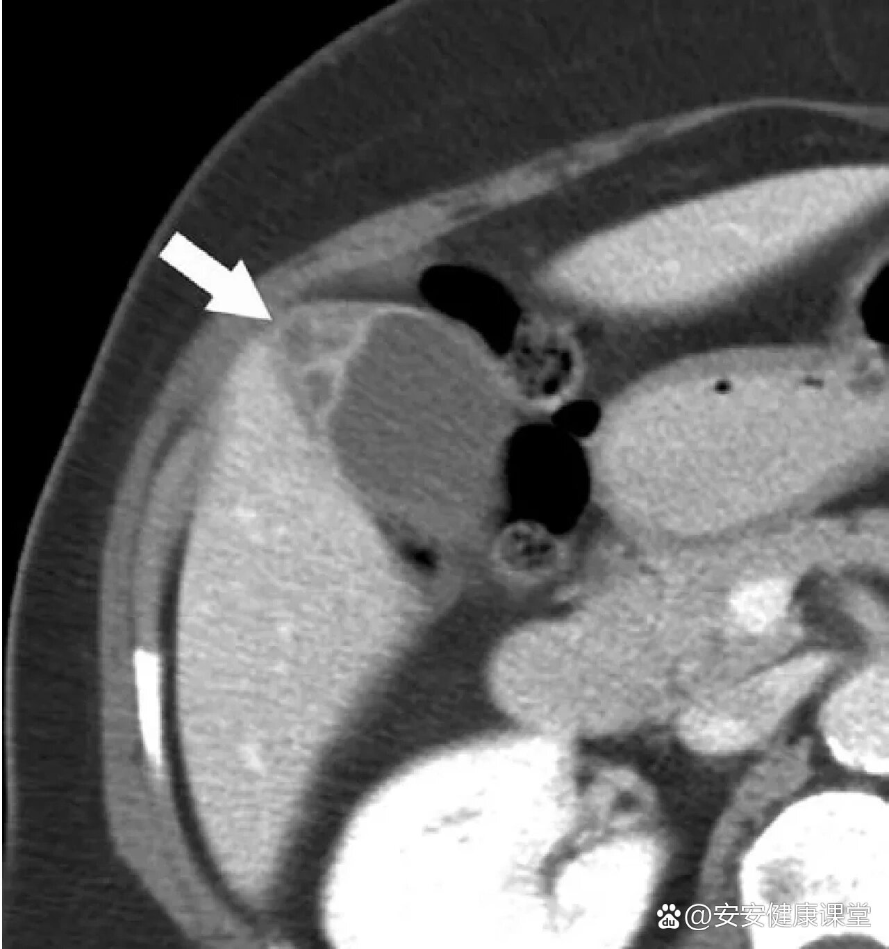
【病例】胆囊腺肌症1例ct影像表现
图片尺寸960x720
胆囊腺肌症影像表现及鉴别
图片尺寸640x480
【病例】胆囊腺肌症1例ct影像表现
图片尺寸960x720
病例胆囊腺肌症1例ct影像诊断
图片尺寸960x720
【病例】胆囊腺肌症1例ct影像表现
图片尺寸960x720
精彩解读 | 胆囊腺肌症
图片尺寸832x545
胆囊腺肌症影像表现及鉴别
图片尺寸640x480
胆囊腺肌症影像表现及鉴别
图片尺寸640x480
ct和mri也用于表现不典型的胆囊腺肌症的诊断,主要协助排除胆囊癌.
图片尺寸605x256
【病例】胆囊腺肌症1例ct影像表现
图片尺寸960x720
胆囊腺肌症 第二讲 · 被忽略的"戴帽子"胆囊是如何诊断及治疗的?
图片尺寸1080x608