胆管结石片子

吓37mm的胆结石几乎占据了整个胆囊
图片尺寸1280x960
肝结石很少能导致总胆管阻塞,患有肝病的动物x线检查偶然发现结石,但
图片尺寸680x996
胆囊结石的首选检查
图片尺寸1278x832
【读片】肝内胆管结石?请教各位!
图片尺寸512x512
我妈妈在18年前因胆结石,把胆切除!在11年前做了一次胆结石!
图片尺寸581x1032
每周诊疗笔记之胆道术后再手术之右后叶肝内胆管结石 - 好大夫在线
图片尺寸3648x2736
得了肝内胆管结石能不能通过微创手术取结石
图片尺寸557x439
一例特殊的胆总管结石
图片尺寸2448x3264
内镜联合腔镜微创解决重症胆管炎难题
图片尺寸2446x3262
91岁高领龄胆管巨大结石,ercp碎石取石病例分享
图片尺寸1600x1200
相关疾病: 肝内胆管结石
图片尺寸512x512
电脑断层扫瞄,诊断远端总胆管结石合并急性胆管及胆囊炎.
图片尺寸2496x1346
胆囊结石伴慢性胆囊炎
图片尺寸680x907![【病例讨论】肝胆管结石病例 求最佳手术方案 [病例帖]](https://i.ecywang.com/upload/1/img1.baidu.com/it/u=1726651413,2687912510&fm=253&fmt=auto&app=138&f=JPEG?w=667&h=500)
【病例讨论】肝胆管结石病例 求最佳手术方案 [病例帖]
图片尺寸5184x3888
56岁,胆总管结石并急性胆囊炎,胆管炎急诊入院,经ct检查证实为:胆石症
图片尺寸621x560
胆总管结石并胆囊结石1例
图片尺寸680x510
胆囊结石,胆管结石怎么办?微创一次解决!
图片尺寸2002x2668
女子严重妊娠反应5次住院 不想竟是胆结石作祟
图片尺寸576x554
胆囊结石胆总管结石一例
图片尺寸680x510
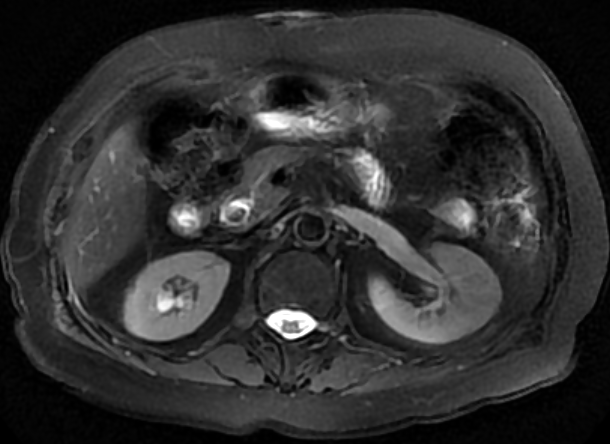
胆管结石患者核磁检查提示胆管末端存在结石
图片尺寸610x444