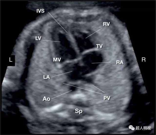
胎儿四腔心切面

【超声微课堂】胎儿超声心动图基本切面与解剖结构的学习:四腔心标准
图片尺寸640x480
胎儿心脏检查常见切面图
图片尺寸723x414
房间隔缺损的显示,胸骨旁四腔切面比心尖四腔切面上显示要好,可以防止
图片尺寸348x297
心尖四腔心切面示意图
图片尺寸557x949
降主动脉旁边多一"点"(四腔心切面)之鉴别_静脉_胎儿_左房
图片尺寸1080x810
图五,胎儿四腔心常见超声二维显像.左侧为示意图,右侧为超声成像.
图片尺寸773x778
降主动脉旁边多一"点"(四腔心切面)之鉴别_静脉_胎儿_左房
图片尺寸408x346
心尖四腔心切面.la.左心房;lv.左心室;ra.右心房;rv.
图片尺寸640x489
美国医学超声协会胎儿超声心动图操作指南 - 好大夫在线
图片尺寸555x724
心尖四腔心切面.jpg
图片尺寸720x576
剑下四腔心切面.jpg
图片尺寸720x576
常规胎儿心脏超声检查,三血管切面,可见四血管,自右向左依次是上腔
图片尺寸800x600
全面的四腔心切面检查是高质量心脏检查的第一步 - 抖音
图片尺寸1919x1094
胎儿心脏标准切面及扫查示例
图片尺寸1080x810
以上两张是正常胎儿四腔心,左房和降主动脉距离很近!
图片尺寸640x551
超声微课堂胎儿心脏超声常用切面
图片尺寸640x629
心尖四腔心切面
图片尺寸1080x810
魏相东:心尖四腔心切面(上) 文章 学术资源 心血管疾病 365医学网
图片尺寸550x411
图13 剑突下四腔心切面示意图
图片尺寸566x919
心尖四腔切面
图片尺寸220x190