胎儿胼胝体图片

胼胝体缺失
图片尺寸1024x768
胎儿胼胝体缺失怎么办?
图片尺寸719x404
胎儿胼胝体缺失
图片尺寸844x495
胼胝体发育不良
图片尺寸401x333
胼胝体的病变你会诊断吗?
图片尺寸960x720
胎儿胼胝体缺如一例
图片尺寸720x576
胼胝体
图片尺寸300x234
胼胝体结构示意图
图片尺寸957x796
超声如何完美显示胎儿胼胝体
图片尺寸782x851
胎儿胼胝体发育不全的mri诊断
图片尺寸1980x853
宝宝核磁显示胼胝体后部薄,是脑发育不良吗_网易订阅
图片尺寸640x299
胼胝体发育不良的胎儿有可能同时存在侧脑室增宽的问题,但是它俩没有
图片尺寸561x550
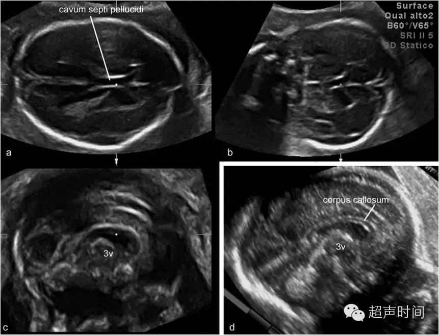
超声如何完美显示胎儿胼胝体
图片尺寸861x657
胼胝体发育不良的影像诊断
图片尺寸960x720
胼胝体缺失的遗传咨询
图片尺寸570x262
脑裂畸形,巨脑回; 大脑半球纵裂囊肿; 胼胝体脂肪瘤
图片尺寸1080x810
手把手教程:超声完美显示胎儿胼胝体
图片尺寸464x413
5类胼胝体病变的影像学表现
图片尺寸714x533
原创男孩开窍晚7岁前用3招来训练胼胝体帮助孩子尽早开窍
图片尺寸640x443
胼胝体缺失的遗传咨询
图片尺寸639x303