胫骨内踝

上端—内侧髁 外侧髁 胫骨粗隆 内侧髁 外侧髁 胫骨粗隆 下端—内踝
图片尺寸1080x810
右内踝骨折现在打石膏保守治疗有什么治疗建议吗
图片尺寸2448x3264
内踝骨折70天是否已经康复
图片尺寸1944x2592
胫骨头(内踝)
图片尺寸510x680
崴脚伤到内踝韧带怎么办
图片尺寸1080x710
系统解剖实验的幻灯片 内踝
图片尺寸1080x810![[定位]:在小腿内侧,胫骨内侧髁下缘与胫骨内侧缘之间的凹陷中.](https://i.ecywang.com/upload/1/img2.baidu.com/it/u=2162918346,2994527058&fm=253&fmt=auto&app=138&f=PNG?w=324&h=483)
[定位]:在小腿内侧,胫骨内侧髁下缘与胫骨内侧缘之间的凹陷中.
图片尺寸324x483
脚内踝骨折 - 知乎
图片尺寸2801x3739
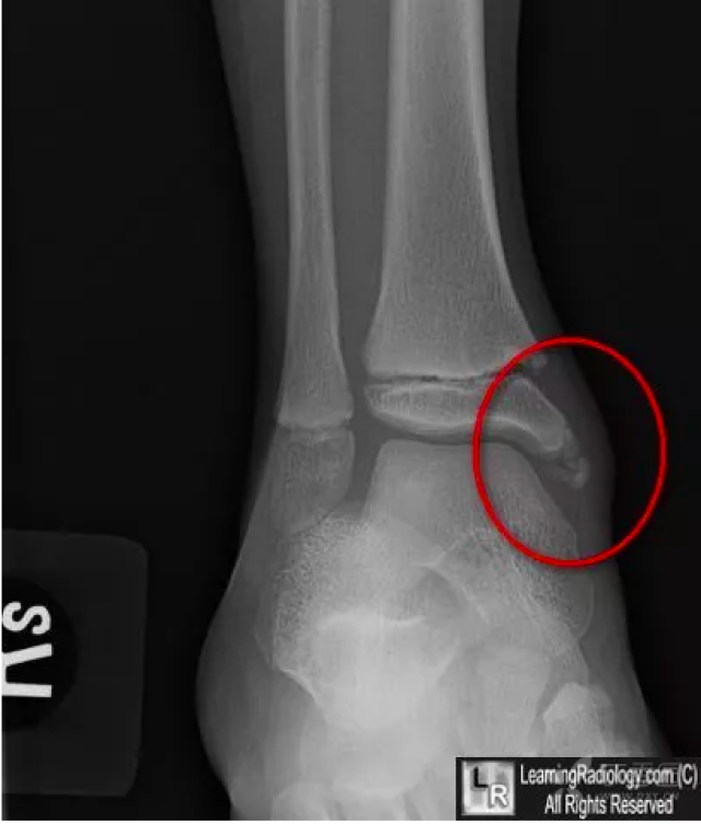
a型,内踝尖的撕脱性骨折;b型,骨折线发生在内踝尖和胫骨远端穹隆之间
图片尺寸696x868
挽起裤管,光着脚丫走在大街上总有一天,伸着手腕,扎着点滴躺在病床上
图片尺寸1080x748
p data-id="gnbuv2glmh">脚内踝是指脚部与腿胫骨和 a target="
图片尺寸750x619
右内踝骨折提前三天口服艾瑞昔布100mgbid
图片尺寸960x1280
该内踝骨折需要手术吗
图片尺寸656x738
内踝骨骨折容易得创伤性关节炎吗?
图片尺寸3264x2448
内踝骨折不做手术能痊愈吗?
图片尺寸494x451
胫骨内踝的骨骺有多个骨化中心所致,见于儿童,不确定时可做双侧对比
图片尺寸640x753
右内踝骨折提前三天口服艾瑞昔布100mgbid
图片尺寸960x1280
内踝骨折70天是否已经康复
图片尺寸1944x2592
胫骨内侧面:位于皮下,向下可延至内踝.
图片尺寸800x546
胫骨,腓骨是小腿的两根骨头,它们的末端(胫骨末端称内踝,腓骨末端称
图片尺寸960x720