胫骨内踝骨折

内踝骨折胫腓骨骨折
图片尺寸1080x1439
内踝骨折
图片尺寸1170x2532
内脚踝骨折
图片尺寸1920x2560
所有位置的x线片中,胫骨和腓骨的软骨下骨应形成一条围绕距骨的连续线
图片尺寸1080x642
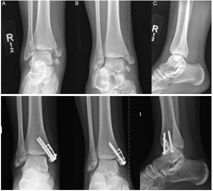
一例内踝骨折,空心钉 or钢板?或者二者?
图片尺寸3000x4000
右侧内踝骨折术后33天
图片尺寸1440x1920
脚内踝骨折
图片尺寸2801x3739
早读图文并茂一文详解内踝骨折的治疗方法
图片尺寸433x388
一例内踝骨折,空心钉 or钢板?或者二者?
图片尺寸3000x4000
胫骨骨折治疗经验分享
图片尺寸1080x1409
内踝骨折:关节镜下撬拨复位可吸收螺钉内固定术后12周踝关节功能
图片尺寸1305x995
影像知识 的想法: 踝关节正侧位
图片尺寸988x1706
胫骨骨折的内固定感染后处理
图片尺寸750x1000
右内踝骨折现在打石膏保守治疗有什么治疗建议吗
图片尺寸2448x3264
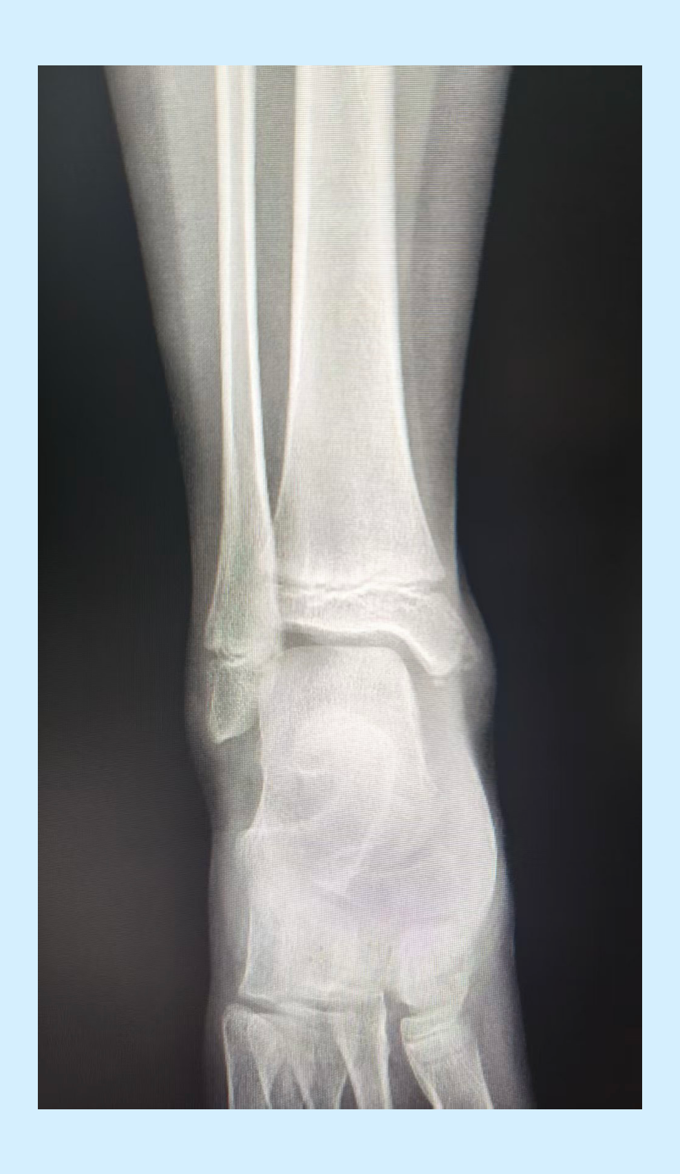
内踝骨折片子
图片尺寸1280x1706
一例三踝骨折,内踝需要处理不?
图片尺寸3000x4000
左脚内踝骨折取钉攻略
图片尺寸1440x1920
内踝骨折保守治疗55天状况
图片尺寸1440x2038
注意到胫骨后肌腱移位并直接位于骨折碎片附近
图片尺寸866x560
踝部骨折切开复位内固定术注:内踝需解剖复位,术程尽量控制在
图片尺寸2160x2880