胰头占位
![【病例讨论】胰头占位一例 [病例帖]](https://i.ecywang.com/upload/1/img2.baidu.com/it/u=3946625926,1869665545&fm=253&fmt=auto&app=138&f=JPEG?w=375&h=500)
【病例讨论】胰头占位一例 [病例帖]
图片尺寸2448x3264
ct:胰头占位,考虑恶性病变可能性大.
图片尺寸900x792
胰头占位患者,ct未见肿瘤,核磁提示胰腺癌,影像报道结果不一致,是手术
图片尺寸1017x669![【病例讨论】胰腺占位 [病例帖]](https://i.ecywang.com/upload/1/img1.baidu.com/it/u=3018102478,1402067143&fm=253&fmt=auto&app=138&f=JPEG?w=889&h=500)
【病例讨论】胰腺占位 [病例帖]
图片尺寸4128x2322
【求助】一位医生的胰头占位(结果已经出来,现在讨论治疗方案,请大家
图片尺寸2428x1824
胰头钩突区低密度占位性病变
图片尺寸676x508
胰头在哪里也会癌变出现这些症状要警惕
图片尺寸640x551
53岁,女,体健超声发现胰腺占位
图片尺寸1080x810
胰头占位患者,ct未见肿瘤,核磁提示胰腺癌,影像报道结果不一致,是手术
图片尺寸1600x773
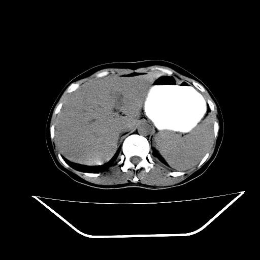
胰头占位ct讨论
图片尺寸512x512
胰头占位?(ct讨论)
图片尺寸512x512
红圈内为胰头占位病变,蓝圈内为胆总管.
图片尺寸1199x1600
胰头部低密度实性占位性病变
图片尺寸806x738
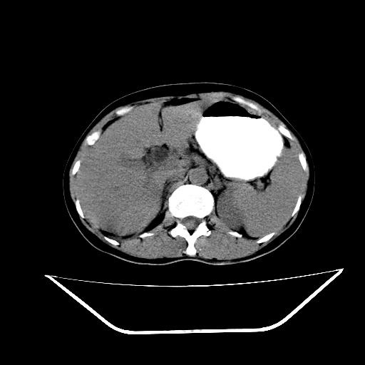
胰头占位?(ct讨论)
图片尺寸512x512
【病例】胰头癌1例ct影像表现
图片尺寸720x885
胰头占位ct讨论
图片尺寸512x512
胰头占位?(ct讨论)
图片尺寸512x512
副 胰 管 降 部 钩突 升部 肠系膜上动脉 十二指肠乳头 水平部 胰头
图片尺寸1080x810![[病例讨论]胰头占位(病情有进展,下一步该咋办?) [病例帖]](https://i.ecywang.com/upload/1/img0.baidu.com/it/u=2129938994,1169165295&fm=253&fmt=auto&app=138&f=JPEG?w=613&h=500)
[病例讨论]胰头占位(病情有进展,下一步该咋办?) [病例帖]
图片尺寸813x663
胰头占位ct讨论
图片尺寸512x512