胰头饱满

副 胰 管 降 部 钩突 升部 肠系膜上动脉 十二指肠乳头 水平部 胰头
图片尺寸1080x810
血浆置换治疗高脂血症性胰腺炎
图片尺寸4032x3024
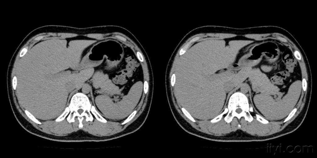
男性16岁因考虑强制性脊柱炎检查发现胰腺饱满
图片尺寸1024x512
如果肿瘤位于胰头,那么在治疗时,一般久会选择切除胰腺和十二指肠,但
图片尺寸640x544
胰管与胆总管汇合开口于十二指肠乳头,或直接开口于十二指肠乳头.
图片尺寸605x662
分部:胰头:上,下及右侧被十二指肠包绕,其下份向左后方突起,钩突胰体
图片尺寸901x601
胰尾长轴切面.ppt 14页
图片尺寸1152x864
胰 位置 分部 胰头 胰体 胰尾 作用
图片尺寸1080x810
二,胰 (一)胰的位置和形态 胰头 胰体 胰尾
图片尺寸1080x810
老是肚子痛,26岁小伙体检检出胰头长了"瘤"!
图片尺寸640x490
这是胰头,是胰右端膨大的部分,位于第二腰椎体的右前方.
图片尺寸554x312
胰头在哪里也会癌变出现这些症状要警惕
图片尺寸640x551
胰可分胰头,胰颈,胰体,胰尾四部分.什么是胰腺?
图片尺寸600x400
妈妈查出胰头恶性肿瘤,无助
图片尺寸1080x1080
胰腺癌是"癌王"?抓住"胰"线生机的利器找到了!
图片尺寸781x516
胰头在哪里也会癌变出现这些症状要警惕
图片尺寸640x640
胰头癌:无痛性黄疸;胰体尾癌:背痛明显.
图片尺寸1080x810
正常胰腺,周围脂肪间隙清晰
图片尺寸2667x2000
关于胆道肿瘤的不错的ppt 恶性梗阻性黄疸常见于 胰头癌 十二指肠乳头
图片尺寸1080x810
十二指肠的形状呈"c"形,包统胰头,可分球部,降部,水平部和升部四部.
图片尺寸893x725