胰岛细胞瘤

术后摘除的胰岛细胞瘤
图片尺寸4158x3118
胰岛细胞瘤
图片尺寸499x322
胰腺实性假乳头状瘤长什么样?可不可以微创手术切除?能不能保留脾脏?
图片尺寸1440x1080
那些我救治过的病人——用最小创伤切除巨大胰腺肿瘤! - 好大夫在线
图片尺寸2732x2923
这样急速冷冻再急速复温两个循环,将肿瘤细胞直接杀
图片尺寸3971x2731
典型胰岛细胞瘤!
图片尺寸1040x780
他把衣服当裤子穿,大家都以为他神经出了问题,其实
图片尺寸358x268
胰腺实性假乳头状瘤长什么样?可不可以微创手术切除?能不能保留脾脏?
图片尺寸1440x1080
胰体尾肿瘤的微创手术治疗 - 好大夫在线
图片尺寸3968x2976
非功能性胰岛细胞瘤
图片尺寸540x658
炎症相关胰腺肿瘤外科治疗1例
图片尺寸3648x2736
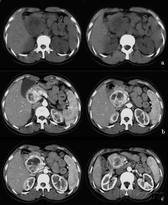
胰岛细胞瘤影像学表现
图片尺寸635x859
胰腺囊腺瘤,微创手术 - 好大夫在线
图片尺寸3016x2182
病例讨论-胰岛细胞瘤
图片尺寸960x720
ercp检查:腹部ct:胰头部富血供占位,胰岛细胞瘤?结合实验室检查.
图片尺寸419x324
胰体61腺尾69癌术61一后69年9个月,ag化疗
图片尺寸789x570
【转帖】胰腺实性假如头状肿瘤
图片尺寸1600x1186
【求助】一位医生的胰头占位(结果已经出来,现在讨论
图片尺寸2428x1824
胰腺肿瘤
图片尺寸1600x1200
胰岛细胞的介绍
图片尺寸504x331