胰腺囊腺瘤

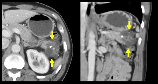
胰腺浆液性囊腺瘤(寡囊型) ct74胰腺颈部见囊性肿物影,其内可见
图片尺寸1280x891
一句话科普:会癌变的粘粘糊糊的胰腺囊腺瘤(313)
图片尺寸1000x447
以《complete anatomy》胰腺胆囊解剖图为参考,添加了浆液性囊腺瘤
图片尺寸1080x810
胰腺浆液性囊腺瘤(寡囊型) ct74胰腺颈部见囊性肿物影,其内可见
图片尺寸1280x1413
应高度重视越来越多见的胰腺囊性肿瘤_检查
图片尺寸1280x1024
信阳市中心医院普外科二病区成功实施全腹腔镜下胰腺囊腺瘤切除术
图片尺寸1080x485
胰腺囊腺瘤是什么样子的?如何判断良恶性?该不该手术?
图片尺寸1260x612
胰腺浆液性囊腺瘤面面观有图有真相
图片尺寸348x262
何为胰腺囊腺瘤为什么胰腺粘液性囊腺瘤需要手术浆液性囊腺瘤可以观察
图片尺寸1600x848
胰腺囊性肿瘤--胰腺囊腺瘤
图片尺寸1181x689
【病例学习】胰腺浆液性囊腺瘤一例mr影像表现
图片尺寸551x308
囊性肿瘤是一种以囊性病变为特征的胰腺肿瘤,主要分为浆液性囊腺瘤
图片尺寸660x410
p>胰腺囊腺瘤和囊腺癌,英文名:cystadenoma and cystadenocarcinoma
图片尺寸540x289
胰腺囊性肿瘤:分支胰管型ipmn癌前病变的. 来自pancman-lc - 微博
图片尺寸690x933
胰腺多发性囊腺瘤——全胰腺,十二指肠联合脾脏切除
图片尺寸1600x910
一句话科普:会癌变的粘粘糊糊的胰腺囊腺瘤(313)
图片尺寸211x184
胰腺浆液性囊腺瘤
图片尺寸1280x673
胰腺浆液性囊腺瘤
图片尺寸1280x608
胰腺浆液性囊腺瘤面面观(有图有真相)
图片尺寸600x590
【病例】胰腺浆液性囊腺瘤1例ct影像表现
图片尺寸320x465