胰腺导管上皮细胞

胰腺管排入十二指肠,消化蛋白质,脂肪和糖)内分泌腺(由大小不同的细胞
图片尺寸1080x448
胰腺外分泌部he染色 腺细胞 呈锥体形,细胞底部位于基膜上,基膜酉腺
图片尺寸437x520
hpde6-c7人正常胰腺导管上皮细胞
图片尺寸2592x1944
组织学与胚胎学--消化腺 ppt课件
图片尺寸1080x810
外层包饶一层不规则的肌上皮细胞.
图片尺寸1080x808
部分存在肌上皮细胞.
图片尺寸1080x807
49:胰腺 外分泌部 内分泌部
图片尺寸1080x810
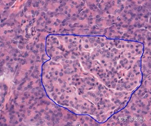
内分泌部为分散在腺泡间的大小不等,形状不一的内分泌细胞群聚集成
图片尺寸544x481
胰腺(外分泌部,胰岛)肝脏(肝小叶)有些是独立的大腺,如肝,胰,唾液腺
图片尺寸454x300
求助小鼠胰腺炎病理切片解读
图片尺寸2676x1384
组织学与病理学:上皮组织(腺上皮,外分泌腺和内分泌腺)
图片尺寸640x479
人胰腺导管细胞
图片尺寸600x398
α细胞,居胰岛之四周,胞质中有的颗粒,占胰岛细胞之20%,分泌降糖素.
图片尺寸1376x1336
肛管的皮肤区被覆角化复层鳞状上皮,其下为不规则
图片尺寸746x921
人胰腺导管细胞原代培养
图片尺寸1440x1080
研究揭示胰腺导管细胞和腺泡细胞之间命运转变
图片尺寸600x597
人胰腺导管细胞
图片尺寸1160x769
胰腺外分泌部he染色 腺细胞 呈锥体形,细胞底部位于基膜上,基膜酉腺
图片尺寸504x419
组胚绘图1上皮组织肌组织神经元胃胰腺
图片尺寸1080x1439
panc-1人胰腺癌细胞
图片尺寸1942x1944