胰腺炎超声图

急性胰腺炎
图片尺寸2808x3255
超声#学习#超声诊断学#胰腺#胰#解剖
图片尺寸1024x768
胰腺炎—超声
图片尺寸1170x1560
急性胰腺炎
图片尺寸4284x5712
胰腺的标准切面#医学科普 - 抖音
图片尺寸825x761
胰腺炎超声诊断
图片尺寸1500x1125
环状胰腺 – 十二指肠的"束缚之环"_回声_患者_症状
图片尺寸1024x771
这样的急性胰腺炎就离谱?
图片尺寸1024x911
图1:正常胰腺的超声表现.
图片尺寸1024x1024
急性胰腺炎反复发作折磨8年!超声内镜新技术解决坏死难题
图片尺寸640x360
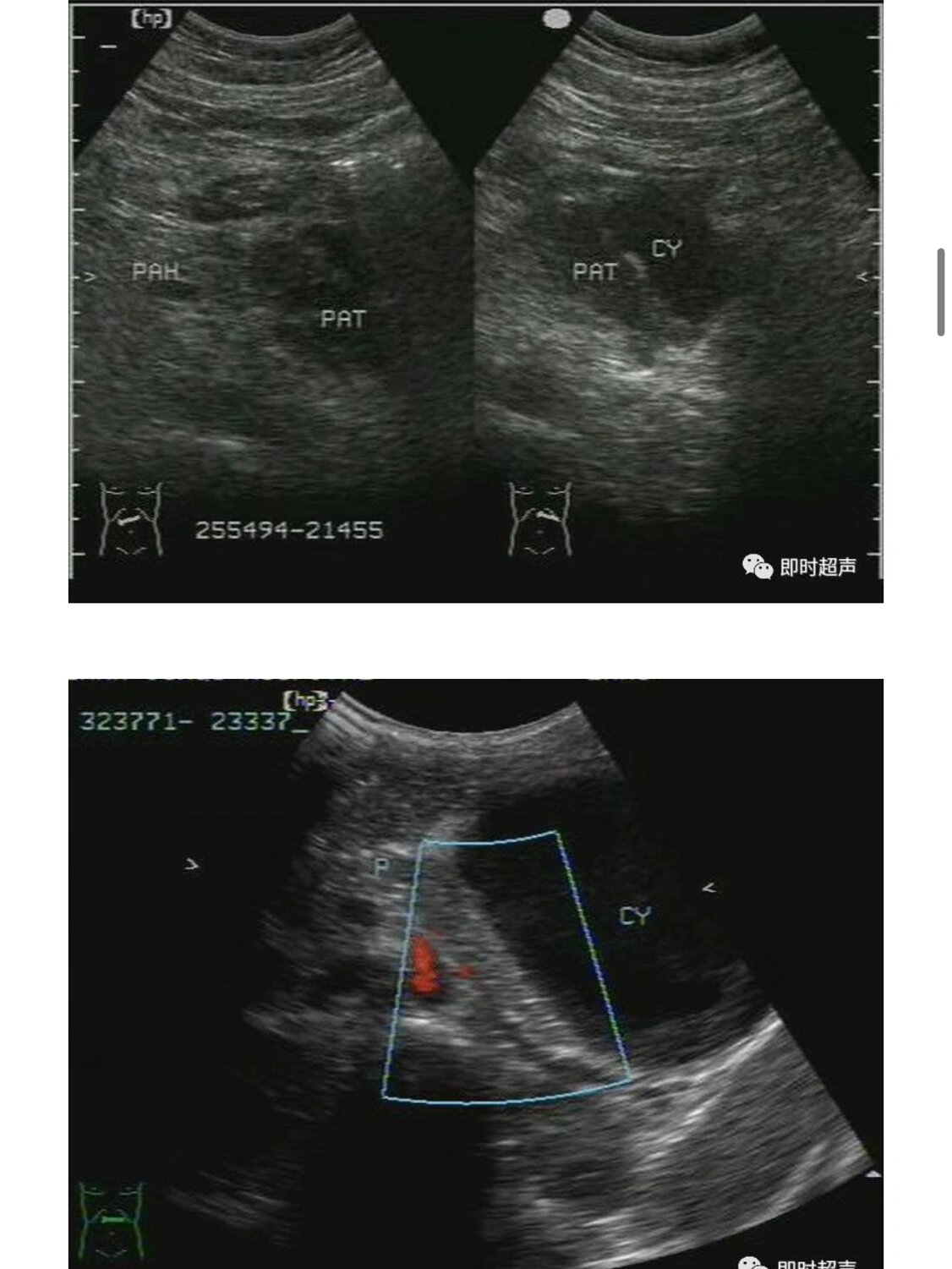
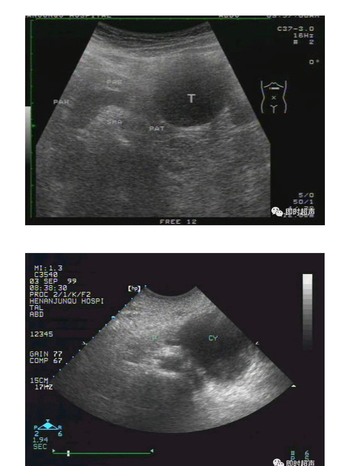
胰腺炎—超声
图片尺寸1126x1501
急性胰腺炎超声诊断
图片尺寸697x488
慢性胰腺炎所致梗阻性黄疸
图片尺寸600x686
一张表解析胰腺囊性肿瘤_黏液_箭头_特点
图片尺寸1024x1206
急性胰腺炎声像图——zengerya - 超声医学讨论版 - 爱爱医医学论坛
图片尺寸639x447
腹部超声 | 胰腺超声(一):急性胰腺炎
图片尺寸640x336
胰腺炎超声表现
图片尺寸666x499
胰腺超声
图片尺寸1280x960
【原创】一14岁女孩胰腺炎一例 - 超声医学讨论版 - 爱爱医医学论坛
图片尺寸640x480
中重症急性胰腺炎发作后9天行胆囊切除术1例
图片尺寸4160x3120